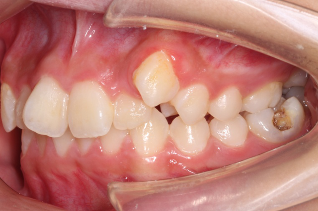
三号牙

没戴牙套前也没注意各个牙的颜色_牙套_牙齿矫正_美妆_医美整形
图片尺寸1080x809
右侧3号牙的牙龈上有硬硬的突出,长条状的,不疼不痒,像骨头又像牙根
图片尺寸911x950
今天9-9 要死 我发现我的左边上面三号牙侧面好像_圈子-新氧美容整形
图片尺寸570x760
第三次复诊 已经戴上3个多月了,最明显是右下方3号牙移动速度_医美
图片尺寸858x858
矫正牙齿
图片尺寸1080x1439
终于3号牙碰上啦
图片尺寸1224x1632
说一下情况吧,自己牙齿右边三号牙一开始就有虎牙,而_圈子-新氧美容
图片尺寸570x760
龅牙矫正牙套56天晚上照镜子发现三号牙有一点点的缝_圈子-新氧美容
图片尺寸570x760
还在倔强挣扎的右三号牙,上面竖着的金属是平导,那个位置是牙的中线
图片尺寸828x566
20161127 二*一 晚饭后兴高采烈换了新牙套,初戴时下侧两颗三号牙齿
图片尺寸331x333
上牙2号3号牙重叠下牙2号3号挤在一起长应该做矫正还是把长在内部的2
图片尺寸720x721
牙齿特殊拉出来难度大被妈妈气哭矫正被很多医生拒绝
图片尺寸451x600
说一下情况吧,自己牙齿右边三号牙一开始就有虎牙,而_圈子-新氧美容
图片尺寸570x760
智齿形状正常,是阻生牙.
图片尺寸568x312
说一下情况吧,自己牙齿右边三号牙一开始就有虎牙,而_圈子-新氧美容
图片尺寸570x759
我的牙齿主要就一个问题,左上3号牙齿内旋,但是3号_圈子-新氧美容整形
图片尺寸447x294
今天9-9 要死 我发现我的左边上面三号牙侧面好像_圈子-新氧美容整形
图片尺寸570x760
长沙14岁少女越长越丑母亲怀疑抱错孩
图片尺寸640x426
与之前相,差异主要体现在2号牙和3号牙之间的牙缝上,已经有了明显
图片尺寸570x471
下排牙齿中间高两边低牙齿特殊拉出来难度大被妈妈气哭矫正被很多医生
图片尺寸600x600