三角软骨位置图

手腕扭伤一直好不了可能是三角纤维软骨损伤
图片尺寸660x440
三角纤维软骨复合体损伤示意图
图片尺寸500x376
腕三角软骨盘在哪?
图片尺寸1080x600
tfcc手腕三角软骨复合体科普
图片尺寸712x626
健身过程中如何避免三角盘软骨损伤,姿势很重要
图片尺寸600x788
三角纤维软骨复合体周围的韧带
图片尺寸596x370
三角纤维软骨复合体核心是一个软骨盘,周围有一圈韧带,像一个吊床一样
图片尺寸600x337
三角纤维软骨复合体损伤
图片尺寸718x348
三角纤维软骨(tfcc)损伤,该如何治疗和康复呢?
图片尺寸720x783
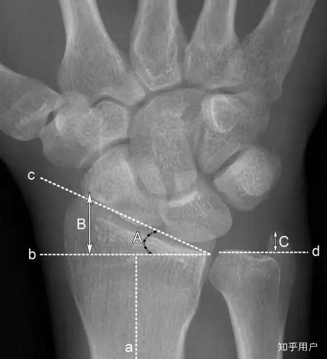
腕关节三角软骨损伤典型案例 - 好大夫在线
图片尺寸640x853
如果出现上述症状,很可能是你的三角纤维软骨复合体损伤了.
图片尺寸640x562
三角纤维软骨复合体
图片尺寸950x629
三角纤维软骨tfcc损伤该如何治疗和康复呢
图片尺寸850x438
关节镜下治疗三角纤维软骨复合体损伤ppt
图片尺寸860x484
氨糖软骨素的作用知道吗腿老膝先老护理关节别吝啬
图片尺寸554x389
什么是腕三角软骨损伤
图片尺寸400x266
三角纤维软骨复合体(triangular fibrocartilage complex,tfcc)是指腕
图片尺寸640x429
三角纤维软骨tfcc损伤该如何治疗和康复呢
图片尺寸828x1398
tfcc全称triangular fibrocartilage complex,又称三角纤维软骨复合体
图片尺寸404x308
三角纤维软骨(tfcc)损伤,该如何治疗和康复呢? - 知乎
图片尺寸640x703