上兜齿

牙齿地包天兜齿是怎样的一种体验
图片尺寸960x1280
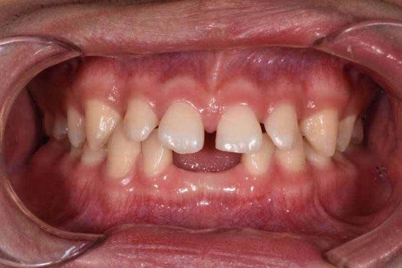
牙要比上牙多出来一些,下巴会"兜出来",所以反颌也俗称地包天或者兜齿
图片尺寸3648x2432
前牙反合,俗称"地包天","兜齿".
图片尺寸1280x852
兜齿和地包天的图片_有来医生
图片尺寸750x500
兜兜齿地包天脸长大脑门
图片尺寸1080x1439
什么是兜齿兜齿有什么危害
图片尺寸485x313
分 类包天,专业学术名词——反颌,牙齿上下咬合时,下排的牙齿盖在上排
图片尺寸941x367
儿童兜齿能不能矫正
图片尺寸450x280
左侧后牙咬合 左侧的上下第六颗牙齿也是兜齿
图片尺寸600x398
兜齿
图片尺寸268x200
矫正牙齿真的给我变帅啦,兜兜齿改善了好多,回到了正常的形态,太开心
图片尺寸828x552
常常表现为下兜齿(下牙位于上牙的外侧),小瘪嘴,月牙脸等,严重影响了
图片尺寸624x504
牙齿反颌,俗称"地包天"或"兜齿".
图片尺寸701x424
牙齿地包天(兜齿)是怎样的一种体验?
图片尺寸1536x2048
牙齿地包天(兜齿)是怎样的一种体验?
图片尺寸656x875
也叫兜齿.上排牙齿代表着天,下排牙齿代表着地,此乃"天地一合"之说.
图片尺寸239x222
分 类包天,专业学术名词——反颌,牙齿上下咬合时,下排的牙齿盖在上排
图片尺寸1080x430
牙齿地包天兜齿是怎样的一种体验
图片尺寸1080x1438
发现宝宝地包天什么时候矫正最合适
图片尺寸827x544
牙齿地包天兜齿是怎样的一种体验
图片尺寸585x359