上切牙

上颌中切牙形态特征简述
图片尺寸1080x810
一颗牙的解剖91上颌中切牙解剖形态特征
图片尺寸467x537
为什么许多人上颌的侧切牙是歪的
图片尺寸2898x1314
(上中,侧切牙,尖牙宽度比例基本符合黄金分割比即1.618:1:0.618
图片尺寸417x241
图407 上切牙变短
图片尺寸756x496
上切牙的龋齿照片
图片尺寸405x300
一颗牙的解剖91上颌中切牙解剖形态特征
图片尺寸337x522
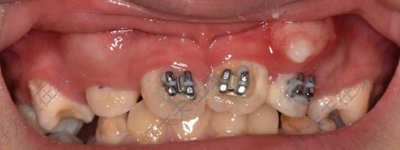
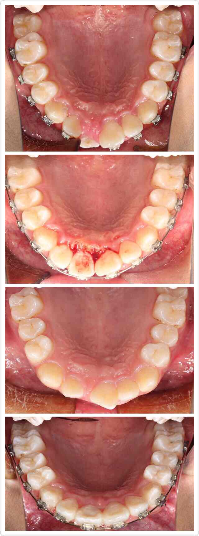
八个月,右上切牙终于归位,还需要把转矩再调整好,收一下覆盖,13岁的小
图片尺寸640x1286
口腔切牙解剖形态ppt
图片尺寸1080x810
一例左上侧切牙根尖切除术
图片尺寸640x426
微贴面关闭上中切牙缝隙-健康160
图片尺寸1427x872
图解左上侧切牙根尖切除术
图片尺寸626x337
切牙乳突是排列上中切牙的解剖标志,是因为()
图片尺寸249x301
八个月,右上切牙终于归位,还需要把转矩再调整好,收一下覆盖,13岁的小
图片尺寸640x1719
上颌中切牙埋伏阻生_阻生齿 - 好大夫在线
图片尺寸800x301
两上中切牙宽度约是高度的80%,通常被认为更加美观)
图片尺寸590x395
上颌中切牙形态特征简述ppt
图片尺寸1080x810
临床医学 rct根管治疗ppt 牙体牙髓病学实验 各牙髓腔形态 下颌中切牙
图片尺寸1080x810
个别牙扭转深覆合俗称"咬合深"上中切牙间隙儿童早期矫治错颌畸形有
图片尺寸640x420
此患者如能拔牙矫治,上前牙再整体内收点,上切牙再压低点效果会更好
图片尺寸640x480