下牙齿

下排的牙齿下面的根好像出来了,很痛,不知道什么时候出来的,有没有太
图片尺寸520x701
牙齿容易出血,刷牙肯定有血,这两天感觉下牙齿有点松动的感觉,刚才
图片尺寸780x1040
今天复查的又拍了下牙齿的照片看看牙齿移动的情况
图片尺寸570x402
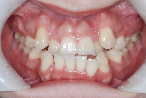
这是下牙套没上之前的,下牙齿明显很挤
图片尺寸570x760
来分享下牙齿健康和牙齿修复问题
图片尺寸2592x1728
以前牙齿下排有颗拔了长不出来,后来牙齿去矫正,完后牙齿后还有牙缝
图片尺寸1200x1600
牙齿矫正美容冠的价格什么是美牙冠
图片尺寸490x176
想要彻底清洁牙齿该怎么做?
图片尺寸709x510
今天复查的又拍了下牙齿的照篇看看牙齿移动的情况~虽_圈子-新氧美容
图片尺寸570x383
新氧体验官现在第五天啦,记录一下牙齿情况,变得更_圈子-新氧美容
图片尺寸1280x960
求助!友友们进来帮我看看我到底需不需要矫正牙齿
图片尺寸1080x1080
不痛 在下牙齿
图片尺寸330x220
宝宝牙齿出现白斑妈妈们赶紧了解一下乳牙脱矿
图片尺寸674x291
温州奥齿泰口腔怎么样?牙齿矫正半年后真实分享!
图片尺寸500x374
牙齿不齐,咬东西很费劲,而且刷牙很难刷干净,因为我_圈子-新氧美容
图片尺寸1284x1712
再不矫正牙齿就要掉了!_手机搜狐网
图片尺寸1080x1250
想记录下牙齿矫正的过程,那就写个日记吧.
图片尺寸570x760
想记录下牙齿矫正的过程,那就写个日记吧.
图片尺寸570x760
牙齿不整齐还能容忍 龅牙不矫正简直惨不忍睹
图片尺寸800x800
牙齿稀疏细节图
图片尺寸452x300