下颚牙齿

女儿新换的牙齿下颚长出来有两颗严重错位,请问有知道的网友知道能
图片尺寸1024x1024
口腔病例分享
图片尺寸1404x931
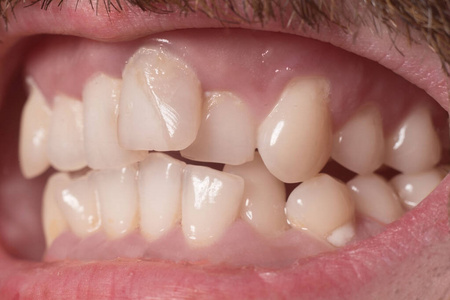
拥挤的下颚的牙齿
图片尺寸700x458
3.8 终于下定决心牙齿矫正. 拔了两颗牙. 开始了. 期待摘牙套那天吧.
图片尺寸1280x1704
牙齿在下颚的位置被破坏照片
图片尺寸450x300
欧唯贝斯和hermione矫正的故事~~我们把牙齿排整齐了
图片尺寸500x345
牙齿在下颚的位置被破坏照片
图片尺寸450x300
下颌牙齿多颗缺失,影响咀嚼以及发音
图片尺寸1080x720
暴牙下颚短,嘴巴闭不拢恐是「小下巴」 易有心血管疾病
图片尺寸600x400
牙垢和牙菌斑,下颚.医学上精确的人类牙齿治疗的3d插图
图片尺寸1200x994
牙医在线-欢迎各位前来咨询探讨各类牙齿问题 - 玩主论坛
图片尺寸800x472
【牙齿情况】 先介绍下我的牙齿情况:26岁,下颚左右各一颗乳牙滞留,无
图片尺寸520x536
正常解剖:下颚对面部的轮廓和上下齿的排列有重要的影响,牙齿必须排列
图片尺寸400x320
还是说是因为我上下颚有些咬合错位引起的?
图片尺寸960x960
写实口腔高精度模型舌头牙齿上下颚
图片尺寸1920x1920
下颚的牙齿里面有很多牙结石舔起来很难受怎么把它弄掉呢
图片尺寸640x469
我是属于门牙内凹.下颚牙齿不齐
图片尺寸570x320
磨牙会导致牙齿,下颚疼痛.(图/记者李佳蓉摄)
图片尺寸1136x852
拔智齿伤到下颚神经嘴麻下巴麻牙齿麻
图片尺寸1125x1762
下颚牙齿的模具
图片尺寸1200x819