丘脑ct图像

双侧丘脑梗死,少见但不多怪
图片尺寸541x625
双侧丘脑对称性病变的影像诊断
图片尺寸960x720
轴位头部ct平扫示双侧对称的高密度钙化灶,累及基底节,丘脑及小脑齿状
图片尺寸512x512
ct提示左侧基底节,丘脑,颞叶,枕叶广泛性脑出血.
图片尺寸3024x4030
脑部ct:显示左侧丘脑出血(出血性中风)
图片尺寸1100x1100![【原创】丘脑核磁,什么病? [病例帖]](https://imgs.wantubizhi.com/img/A1A61BAA66193547F3A6DD7D8EE527E9918377EC8AD4587B5A21995071E759BD58614C89248EDE1CD14C72A230CE6D87A250C8A3886D9E8D54616279EB20C11D555E5E7F1BDC86615CEE3CC88DB4934DD58AD2E835DDC762BBB7A27F877F2176)
【原创】丘脑核磁,什么病? [病例帖]
图片尺寸4000x2248
石柏宽 右侧丘脑出血破入脑室
图片尺寸909x1063
2月28日复查头颅ct片,右侧丘脑血肿以及脑室内血肿全部清除干净,结果
图片尺寸960x1280
一样的丘脑血肿,不一样的治疗方法之二(副本)
图片尺寸960x1280
双侧丘脑对称性病变的影像诊断
图片尺寸960x720
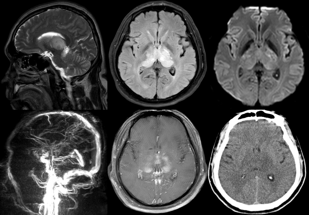
26 神经系统疾病—丘脑病变影像诊断思路
图片尺寸1080x750
(图)哪位帮我看看8岁儿子的脑部(特别下丘脑)有没有问题
图片尺寸4140x2440
丘脑性失语一例
图片尺寸1800x638
【讨论】双侧丘脑对称性病变
图片尺寸602x849
左丘脑脓肿继发脑积水,6次脑室穿刺未愈,1次分流手
图片尺寸1270x948
水平层面 ct 额上回 额中回 额下回 胼胝 尾 尾状核 体状核 岛叶 丘脑
图片尺寸1080x810
头颅ct解剖及诊断ppt
图片尺寸1080x810
齐立军,右侧丘脑出血
图片尺寸3024x4032
头颅ct与mri的正常图像
图片尺寸1080x810
双侧丘脑对称性病变的影像诊断
图片尺寸960x720