中华蚤显微镜图片

显微镜下跳蚤的真实面目
图片尺寸640x427
技术 没人 扫描电镜 宠物 放大 嘴里 向上图片 显微照片 底图 显微镜
图片尺寸640x480
显微镜下的跳蚤
图片尺寸469x351
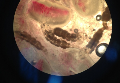
图16:锚头蚤引起的体表的伤口图15:鳃丝的中华蚤及其显微图从2023年11
图片尺寸450x450
跳蚤在显微镜下
图片尺寸1200x800
显微镜下的水蚤
图片尺寸1080x1920
慢动作显微镜下活甲壳动物水蚤视频
图片尺寸580x326
鳊鱼,鲤鱼,异育银鲫,黄金鲫,斑点叉尾鮰,黄颡鱼)开展了体检,中华蚤,锚
图片尺寸624x468
近距离观察深海望远镜鱼的脸通过电子显微镜看到的有螨虫的睫毛大型蚤
图片尺寸640x483
人体寄生虫显微镜下图
图片尺寸1080x1439
九成人不知蚊子最大天敌是啥1个土招蚊子跑光光
图片尺寸640x427
九成人不知蚊子最大的天敌是啥1个笨法子整夜开窗不怕了
图片尺寸605x454
市水产站发布《中华蚤病防控技术要点》
图片尺寸500x347
九成人不知蚊子天敌是啥教你1招晚上开窗都不怕安睡整夜
图片尺寸640x581
图15:鳃丝的中华蚤及其显微图从2023年11月份开始,我们对多地的存塘鱼
图片尺寸1080x810
九成人不知蚊子最怕的天敌是啥1笨法整夜开窗也不怕
图片尺寸613x578
鲤鱼主要检查鳃丝(指环虫,车轮虫,中华蚤等等纤毛虫),口腔(锚头蚤等)
图片尺寸1280x960
九成人不知道蚊子最大天敌是啥1个土法子整夜开窗不用怕
图片尺寸640x854
图16:锚头蚤引起的体表的伤口图15:鳃丝的中华蚤及其显微图从2023年11
图片尺寸542x542
鳊鱼,鲤鱼,异育银鲫,黄金鲫,斑点叉尾鮰,黄颡鱼)开展了体检,中华蚤,锚
图片尺寸632x474