中性粒细胞吞噬细菌

细胞吞噬细菌的图片
图片尺寸640x462
白细胞吞噬细菌的过程是
图片尺寸969x953
切换到油镜下一看,不得了,竟然是中性粒细胞吞噬了细菌!如图3.
图片尺寸660x496
它关乎这细胞的吞噬和消化功能,当我们身体里面的中性粒细胞百分比
图片尺寸800x534
中性粒细胞,又名小噬细胞,具有活跃的运动和吞噬功能,能吞噬细菌组织
图片尺寸880x1182
肺泡腔内渗出的中性粒细胞吞噬了g 细菌
图片尺寸480x249
继续浏览该片子,发现还真有吞噬细菌的中性粒细胞!
图片尺寸660x561
白细胞是人体与疾病斗争的"卫士".
图片尺寸640x659
中性粒细胞吞噬功能试验课件
图片尺寸920x518
阿米巴原虫吞噬细菌
图片尺寸700x467
吞噬细胞吞噬病菌
图片尺寸1080x810
所以,细菌感染的时候,通常是中性粒细胞升高,相应的,白细胞也就升高了
图片尺寸640x622
毛 细 血 管 吞噬细胞 吞噬细胞可以将侵入人体的病原体吞噬消化.
图片尺寸1080x810
白细胞 白细胞能杀灭病菌,清洁血液
图片尺寸1080x810
白细胞吞噬细菌中性粒细胞白细胞的一种
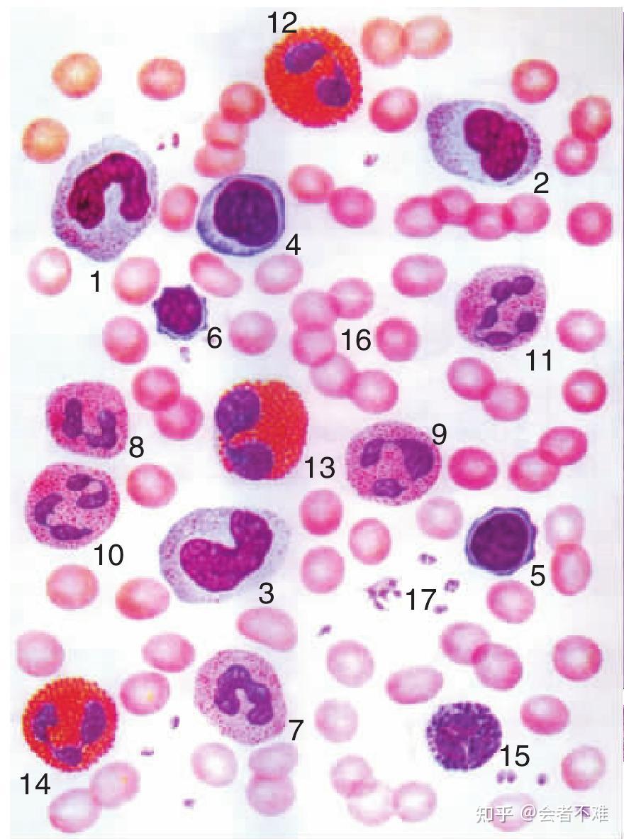
图片尺寸1068x1424
巨噬细胞吞噬过程
图片尺寸1080x1439
吞噬细胞吞 噬大肠杆菌 这个过程属于哪一种免疫方式?
图片尺寸1080x810
吞噬细胞内的淋球菌
图片尺寸1200x720
4 免疫调节(1)(人教版必修3)ppt 吞噬细胞吞噬病原体 皮肤和黏膜对
图片尺寸1080x810
组织学与胚胎学,邹仲之主编 巨噬细胞处理抗原过程示意图
图片尺寸1080x810