中耳炎

分泌性中耳炎——一个不流脓,但不可忽视的听力杀手(附检查视频)
图片尺寸451x405
中耳炎术后鼓膜再穿孔.耳内镜下手术修复,"小手术"也要认真做.
图片尺寸2667x2000
中耳炎鼓膜穿孔手术,需要多少钱
图片尺寸640x605
为什么小儿容易好发中耳炎
图片尺寸660x431
分享一下自己分泌性中耳炎治愈经历
图片尺寸1536x2048
让分泌性中耳炎患者告别"耳闷,耳鸣,听力下降"等烦恼
图片尺寸1080x2340
全国爱耳日|警惕中耳炎,你家娃娃经常喊耳朵痛吗?_孩子_儿童_检查
图片尺寸434x308
中耳炎的危害
图片尺寸837x1280
让分泌性中耳炎患者告别"耳闷,耳鸣,听力下降"等烦恼
图片尺寸1080x2340
爱耳日 | 一文读懂中耳炎_化脓性_治疗_症状
图片尺寸1080x1080
中耳炎反复发作要小心
图片尺寸432x215
慢性化脓性中耳炎的诊疗
图片尺寸331x335
武汉民生耳鼻喉医院提醒春季呼吸道疾病警惕分泌性中耳炎
图片尺寸600x349
有了中耳炎我们该拿它怎么办
图片尺寸650x610
(图表·漫画)冬春季警惕儿童中耳炎_新华社_保护_临床
图片尺寸2896x2150
【中耳炎:不只是耳痛和发热】了解一下中耳炎的"后遗症"!
图片尺寸600x399
首大戴海江分泌性中耳炎的典型症状都有哪些
图片尺寸450x300
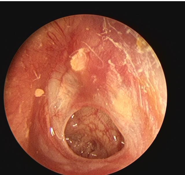
分泌性中耳炎内镜检查显示鼓膜内陷橙红油亮.png
图片尺寸735x592
感冒后耳朵闷原来是分泌性中耳炎
图片尺寸489x483
爱耳日 | 一文读懂中耳炎_化脓性_治疗_症状
图片尺寸1080x1127