为什么会换牙

作品集之人为什么会换牙
图片尺寸2480x3366
父母必看小孩换牙期注意事项
图片尺寸1080x1440
儿童为什么会换牙
图片尺寸893x1264
科学《为什么会掉牙》
图片尺寸4009x2000
新手幼师必备,幼儿园公开课《换牙我不怕》今天为大家分享一节大 - 抖
图片尺寸1280x1706
儿童换牙顺序你知道吗 儿童在乳牙换牙期间要多吃含纤维素高,有一定
图片尺寸1018x1280
您孩子换牙顺序对吗?【宝妈必看】
图片尺寸1080x1443
作品集之人为什么会换牙
图片尺寸1280x1737
让我们来学习下儿童换牙的注意事项有哪些吧
图片尺寸562x994
宝宝换牙期一定有你不知道但又跟重要的事
图片尺寸1080x1410
为什么孩子换牙期居然变成锯齿牙
图片尺寸1080x1443
健康科普儿童换牙的那些事你知道多少
图片尺寸600x670
健康科普宝宝换牙小知识
图片尺寸554x461
95很多家长在孩子的换牙期间都感觉到特别的担心,他们生怕孩子会长
图片尺寸1080x1443
你们家孩子多大开始换牙?
图片尺寸961x1280
为什么人一生只能换一次牙 人的牙齿为什么换一次
图片尺寸700x400
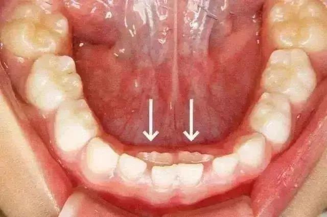
为什么小孩子在换牙的时候容易出现双排牙
图片尺寸640x426
孩子换牙期,哪些原因会造成孩子牙齿不齐
图片尺寸586x545
几岁开始换牙才算正常 人一生会有两副牙齿:乳牙和恒牙.
图片尺寸961x1280
你造嘛宝宝乳牙迟迟不肯换一张图告诉你
图片尺寸639x765