主动脉ct图像

正常解剖 主动脉弓层面
图片尺寸1080x810
【"战疫一线"渭南市第一医院影像中心】全主动脉cta~2020.2.28病例
图片尺寸1536x2046
主动脉全长cta
图片尺寸2001x2000
主动脉弓上层面-胸部ct断层影像
图片尺寸600x242
主动脉瘤与主动脉夹层的ct表现一
图片尺寸830x790
经典图谱ct平扫诊断主动脉夹层
图片尺寸418x738
【"战疫一线"渭南市第一医院影像中心】全主动脉cta~2020.2.28病例
图片尺寸1080x1080
主动脉壁内血肿 主动脉夹层的诊治 主动脉夹层ct 主动脉夹层
图片尺寸1080x810
在当地医院行强化 ct 显示胸腹主动脉夹层(stanford b型),而当地医院
图片尺寸903x347
又又双双叒叕主动脉夹层了
图片尺寸512x512
【"战疫一线"渭南市第一医院影像中心】全主动脉cta~2020.2.28病例
图片尺寸1080x1080
【"战疫一线"渭南市第一医院影像中心】全主动脉cta~2020.2.28病例
图片尺寸2000x2000
如图所示经主动脉弓层面的横断层ct图像图注2所标示的结构是
图片尺寸720x488
由于缺乏相关症状,考虑该夹层动脉瘤是慢性的.
图片尺寸574x405
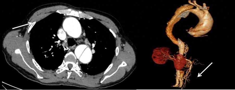
ct三维血管重建图像,看见主动脉撕裂.
图片尺寸1080x1600
主动脉夹层分型及临床
图片尺寸640x852
ct平扫主动脉内径增宽
图片尺寸2666x2000
这些动脉夹层,光看ct平扫也能发现|ct|血管|主动脉_网易订阅
图片尺寸463x349
【"战疫一线"渭南市第一医院影像中心】全主动脉cta~2020.2.28病例
图片尺寸1080x1080
在查看胸部平扫ct时,黄医师突然发现齐先生的胸主动脉与常人略有不同.
图片尺寸640x510