主细胞

照片名称:31主细胞
图片尺寸670x502
甲状腺组织胚胎学及生理学
图片尺寸640x358
淋巴细胞 红细胞 血细胞 单核细胞 白细胞 血小板 中性粒细胞 嗜酸性
图片尺寸1080x810
营养性贫血缺铁ppt 医学 儿科学 课件 讲义 , 缺铁性贫血红细胞形态
图片尺寸1080x810
大一统时空揭秘生命繁衍谁主细胞的结构和分裂
图片尺寸640x579
二,甲状旁腺的组织结构 (一)主细胞 (二)嗜酸性细胞
图片尺寸1080x810
羊驼第 3 胃室后膨大组织结构(黏膜)(he)1.主细胞 2.壁细胞 3.
图片尺寸640x849
组织学与胚胎学实验图
图片尺寸1080x1440
胃底腺:主细胞, 胃底腺:主细胞,壁细胞及颈黏液细胞
图片尺寸1080x810
胃底腺
图片尺寸785x609
黏液性腺泡向左滑动查看答案壁细胞向左滑动查看答案主细胞向左滑动
图片尺寸670x502
胃——粘膜,胃腺,胃小坑,壁细胞,主细胞,黏液细胞,100x照片素材
图片尺寸532x800
空泡渐欲迷人眼,形态仔细把它辨|细胞|淋巴瘤|伯基特|淋巴细胞_网易
图片尺寸511x341
2012届高考生物二轮总复习专题导练(江苏专版)课件:专题4 细胞工程
图片尺寸1080x810
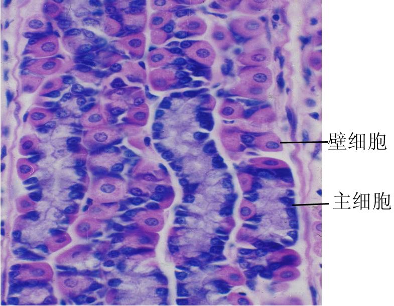
主细胞负责分泌胃蛋白酶原,因其他含有大量的粗面内质网——蛋白质的
图片尺寸536x543
人主动脉内皮细胞
图片尺寸1600x1200
壁细胞左滑动查看答案胃左滑动查看答案主细胞左滑动查看答案胃(四层)
图片尺寸670x502
2 细胞器-系统内的分工合作课件 新人教版必修1ppt
图片尺寸1080x810
单核细胞(mo) 中性粒细胞 嗜酸性粒细胞 巨噬 细胞(m 嗜碱性粒细胞
图片尺寸1080x810
髓鞘(生物 名词)髓鞘是包裹在神经细胞轴突外面的一层膜,即髓鞘由施万
图片尺寸534x356