乳房图片病变

乳房病变之不对称
图片尺寸391x291
女性乳房如果出现肿块的现象要警惕乳腺疾病,多关注乳房的健康工作
图片尺寸600x484
"乳腺健康"系列-巨细靡遗:少见并容易误诊的乳腺疾病_乳房_肿瘤_诊断
图片尺寸1080x716
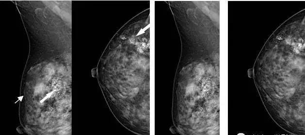
有种"难缠"的乳腺疾病青睐中青年女性_治疗_肿块_乳房
图片尺寸1028x907
乳腺癌自查:一看二触三挤 1,看 洗澡时对着镜子看看乳房,看乳腺是否
图片尺寸1080x657
1分钟学会「乳房自检」,拒绝乳腺癌!_手机搜狐网
图片尺寸600x425
乳房的结构首先了解一下乳房的结构.
图片尺寸640x631
男性也会得乳腺癌关于乳房你不得不知道的常识
图片尺寸702x369
乳房,我们应该走"进"看_乳腺疾病_乳腺疾病相关疾病 - 好大夫在线
图片尺寸703x610
科普发现乳房结节需要进一步做什么检查
图片尺寸497x497
乳房肿块,乳腺囊肿,乳腺增生,三七粉 它是最佳选择!_女性_效果_肝气
图片尺寸450x350
乳腺9大基本病变从业人员必须掌握的基础
图片尺寸629x280
出现5个症状,千万别拖!_乳房
图片尺寸416x500
乳房肿块的解读
图片尺寸297x374
干货收藏!乳腺9大基本病变,全在这了
图片尺寸567x346
胸壁浅层和大半部分乳房,如果这些部位出现了炎症,肿瘤等病变,就有
图片尺寸660x377
乳房_内蒙古_临床
图片尺寸1024x1021
是囊肿,也不是炎症,只是乳腺组织的增生,增大,具体的表现就是乳房胀痛
图片尺寸381x234
如何自查乳房疾病,如何预防乳腺癌?
图片尺寸640x6299
好发于25~45岁妇女,约占全部乳腺疾病的75%,是临床上最常见的乳房疾病
图片尺寸660x436