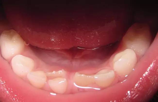
乳牙双排牙

女童长出"双排牙"吓坏同学,若不注意这个行为,发病率高达30%
图片尺寸1080x648
8岁孙子长出"双排牙",医生:只能一颗颗拔掉,奶奶哭诉:都怪我
图片尺寸2048x1519
6岁男孩竟然长出"双排牙" 家长注意:皆因孩子饮食太精细|乳牙|恒牙
图片尺寸400x533
孩子出现双排牙需不需要将乳牙拔掉医生提醒要视情况而定
图片尺寸640x439
双排牙齿通常是已经长出恒牙,但是相应的乳牙还没有退掉 - 抖音
图片尺寸1440x1920
双排牙.png
图片尺寸705x469
孩子长双排牙怎么办?-淄博佳美口腔
图片尺寸650x344
7岁男孩长双排牙,医生建议一颗颗全拔掉,得知诱因的奶奶悔不迭
图片尺寸640x448
为啥孩子会长"双层牙",医生:和家长的喂养习惯有关系
图片尺寸500x335
为何现在"双排牙"的孩子越来越多?医生:跟家长脱不了干系!
图片尺寸640x452
孩子7周岁,双排牙,怎么操作?
图片尺寸3456x4608
儿童下门牙双排牙是怎么回事
图片尺寸509x334
孩子长出电影中"异形"般的双排牙齿,家长惊慌:莫非宝宝是超人
图片尺寸640x853
6岁孩子长出"双排牙",父母爱孩子的行为,却变成了"害"孩子_乳牙
图片尺寸640x459
7岁女宝长双排牙,奶奶说是福气表现,医生的斥责声让其倍感羞愧_乳牙
图片尺寸2000x1400
10个孩子里5个长双排牙,医生感叹:都是家长喂出来的_乳牙
图片尺寸640x426
孩子"双排牙"怎么办——聊聊乳牙滞留这件事_儿童牙病_病因_治疗方法
图片尺寸800x600
孩子长出"双排牙",竟是因吃得太精细-爱问医生-小队长-爱问医生
图片尺寸504x300
乳牙坏了不用拔等孩子自己换牙就好这样的说法真的靠谱吗
图片尺寸500x334
可怕8岁男孩长了双排牙,严重还可能引起心肌炎,肾炎罪魁祸首竟是这个
图片尺寸651x423