乳牙龋齿

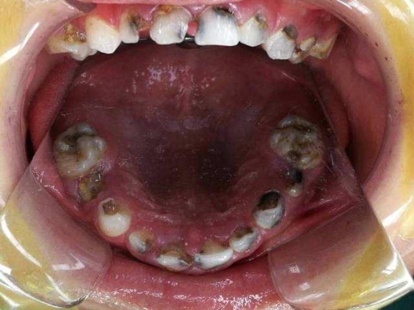
3岁宝宝喊牙疼检查一看20颗乳牙全被蛀坏口腔清洁别再嫌早
图片尺寸640x427
乳牙为什么比恒牙更容易坏?_龋齿_疾病介绍_介绍 - 好大夫在线
图片尺寸552x416
4岁女孩得龋齿,20颗牙坏了16颗,少吃糖不是关键|蛀牙|乳牙|换牙|恒牙
图片尺寸660x440
宝宝乳牙龋齿不用管?家长需知道这些
图片尺寸640x427
乳牙因为龋齿导致牙体缺损,特别是乳磨牙出现缺损时,咀嚼功能会明显
图片尺寸1023x682
正确的,健康的乳牙是健康恒牙萌出的引导,所以乳牙龋齿也是需要治疗的
图片尺寸2020x3035
下面我们就来讲一下乳牙龋齿不治疗的危害
图片尺寸1023x682
孩子龋齿严重花了15万手术!如何保护孩子的乳牙?
图片尺寸1080x905
4岁女儿乳牙有龋齿 妈妈没有在意结局却成这样
图片尺寸600x450
乳牙早晚都是要换的,只要不疼,乳牙龋齿不治也行吧?
图片尺寸1600x1066
乳牙迟早要换,变成龋齿也无所谓?
图片尺寸1280x854
龋齿会传染?快看看,你家娃的乳牙也有这些问题吗
图片尺寸640x414
如何预防乳牙龋坏?_管超医生文章_嘉兴市中医医院-微医
图片尺寸828x621
5岁女孩"封眼"入icu "病根"竟然因一颗"龋齿"
图片尺寸640x480
3岁宝宝满口黑牙,妈妈却毫不在乎,医生怒斥|乳牙|龋齿|龋坏|蛀牙|喝奶
图片尺寸640x777
第三次全国口腔调查数据显示,我国5岁以下儿童患乳牙龋齿的概率高达63
图片尺寸2000x1340
乳牙坏了不用管?未及时治疗,4岁男童一口牙几乎烂光
图片尺寸1000x667
3岁男孩得奶瓶龋,一口牙竟烂16颗 妇儿医院治疗小黑牙变小白牙
图片尺寸800x533
儿童乳牙龋--儿童乳牙健康的第一杀手!
图片尺寸1280x960
正确的,健康的乳牙是健康恒牙萌出的引导,所以乳牙龋齿也是需要治疗的
图片尺寸2020x2288