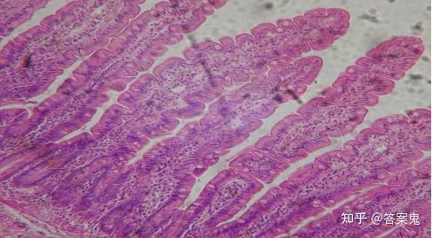
乳糜管

中心静脉穿刺的解剖-赵晓晖ppt
图片尺寸1080x810
绒毛中含淋巴液的乳糜管
图片尺寸500x252
乳糜胸及乳糜腹的学习ppt
图片尺寸800x600
消化管的血管淋巴管和神经
图片尺寸448x253
小肠绒毛的中心就是乳糜管
图片尺寸600x451
组织学与胚胎学图谱详细版
图片尺寸487x269
图 f 脂类 s 滑面内质网 g 高尔基复合体 c 乳糜微粒 cl 中央乳糜管
图片尺寸1080x810
全身淋巴系统的精细解剖
图片尺寸994x746
乳糜试验鉴别乳糜尿:一定得用乙醚?若购买乙醚困难不妨换这个方法
图片尺寸640x613
乳糜管→肠系膜淋巴管→乳糜池→胸导管→上腔左静脉角→上腔静脉
图片尺寸454x393
胃肠吸收
图片尺寸867x954
乳糜池上行为胸管 ┌左边头颈部┐
图片尺寸281x462
知识二内脏:位于胸腔,腹腔内,与新陈代谢有关的器官,有管道与外界相通
图片尺寸301x238
淋巴循环
图片尺寸268x262
病毒性腹泻造成乳糜管内是空的
图片尺寸452x339
体检要空腹晚饭能吃不能喝水吗药要不要停你真的空对了吗
图片尺寸640x363
乳糜管→肠系膜淋巴管→乳糜池→胸导管→上腔左静脉角→上腔静脉
图片尺寸469x415
术中见肾门部大量乳糜管,离断后见乳糜液喷出
图片尺寸640x480
乳糜管→肠系膜淋巴管→乳糜池→胸导管→上腔左静脉角→上腔静脉
图片尺寸462x416
胸导管和乳糜管
图片尺寸474x1200