乳腺导管瘤

乳腺导管内乳头状瘤的治疗
图片尺寸310x240
乳房导管内乳头状瘤
图片尺寸300x225
过程,切除包括肿瘤在内的乳管,最后病理是乳管内乳头状瘤伴导管原位癌
图片尺寸800x600
乳腺导管瘤手术手术后两个星期,伤口还未完全愈合,乳晕外圈感觉硬硬的
图片尺寸200x150
乳腺浸润性导管癌大体(图)
图片尺寸550x398
乳腺导管内增生性病变及小叶内瘤变
图片尺寸842x620
导管内乳头状瘤的那些事_乳腺导管内乳头状瘤_症状表现_检查 - 好大夫
图片尺寸736x517
乳腺导管扩张: 又叫粉刺样乳腺炎,有的是因为乳头内陷,藏污纳垢引起的
图片尺寸640x932
乳管镜下乳导管内乳头状瘤
图片尺寸1263x893
双乳导管内乳头状瘤
图片尺寸1080x1282
乳腺导管内增生性病变及小叶内瘤变
图片尺寸835x617
p>导管内乳头状瘤分为乳腺导管内乳头状瘤与乳腺导管内乳头状癌:两者
图片尺寸960x720
乳腺纤维瘤
图片尺寸735x500
超声微课堂乳腺导管内乳头状瘤超声诊断
图片尺寸1080x608
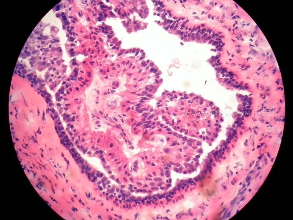
乳腺导管内乳头状瘤一例2018.01.05【中美加乳腺病理交流群病例217】
图片尺寸800x600
超声微课堂乳腺导管内乳头状瘤超声诊断
图片尺寸1080x608
超声典型病例乳腺导管内乳头状瘤
图片尺寸708x507
乳腺癌 侵润性导管癌3级 谁可以给我解释下 上面写的意思 谢谢 急急急
图片尺寸1024x903
病例:左乳导管内乳头状瘤;左乳慢性乳腺炎急性发作
图片尺寸552x804
乳腺导管内乳头状瘤的治疗
图片尺寸350x337