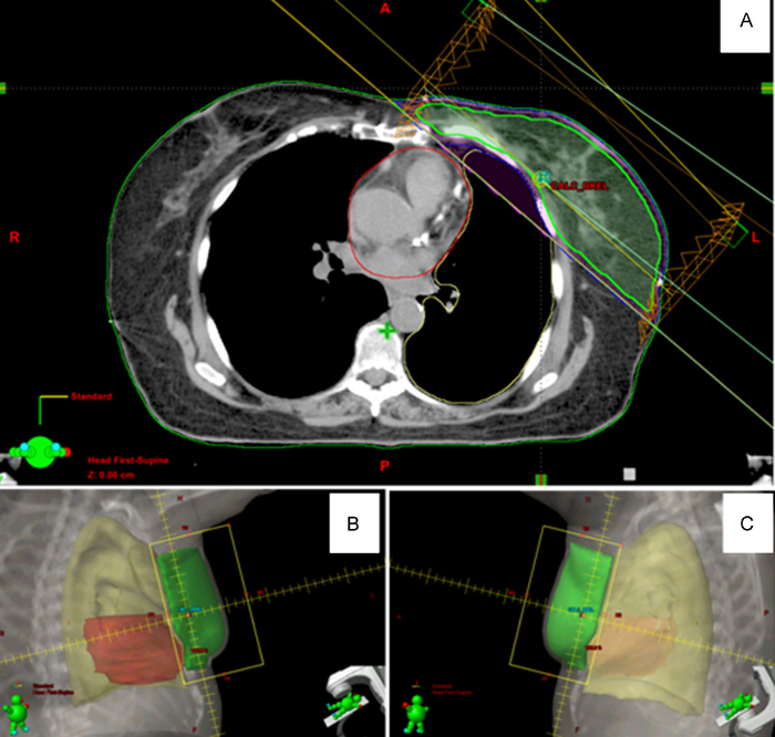
乳腺癌保乳放疗定位图

乳腺癌的调强适形放射治疗_第5页
图片尺寸920x690
颈胸一体固定在乳腺癌放疗中的优势又添有力临床证明
图片尺寸800x1149
放疗丨乳腺癌放疗是怎么进行的
图片尺寸700x666
8个步骤让你秒懂放疗-乳腺癌康复圈-觅健
图片尺寸1049x727
乳腺癌改良根治术后放疗两种固定方式在锁骨上下区摆位误差的比较
图片尺寸1575x896
乳腺癌术后放疗,15 次和 25 次有什么区别?
图片尺寸562x338
乳腺癌术后放疗的时间1,保乳术:如果采取的是保乳术,放疗一般在术后4
图片尺寸711x459
杨丽姝:早期乳腺癌的保乳治疗
图片尺寸640x480
特效乳腺针法九针变式藏针放血
图片尺寸640x546
"做最好的乳腺癌放射治疗"
图片尺寸768x576
3种不同放疗技术在左侧乳腺癌保乳术后全乳腺放疗中的剂量学比较
图片尺寸3150x872
乳腺癌保乳手术适应症禁忌症术后放疗局部复发的治疗建议
图片尺寸640x516
为了保持女性对于美的追求,根据不同的乳腺癌类型,手术也分为了保乳
图片尺寸639x359
左乳癌保乳术后混合调强放疗中利用多叶准直器遮挡技术减少心脏受照
图片尺寸700x568
乳腺癌改良根治术和保乳术的疗效分析比较_乳腺癌_乳腺癌治疗方式
图片尺寸526x616
1,乳腺癌示意图1和2图片来源于网络;2,放射治疗定位示意图来自放疗科
图片尺寸976x732
乳腺癌放疗该怎么做?
图片尺寸587x572
【新技术】保乳术后同步加量调强放疗
图片尺寸800x1200
看放射治疗如何"降妖除魔"|放射治疗|乳腺癌|剂量|癌症|肿瘤|放疗
图片尺寸869x635
众志成城,"乳"此非凡 精准放疗,卓尔不群|乳腺癌|肿瘤|恶性肿瘤_网易
图片尺寸640x419