产科超声

超声1.jpg
图片尺寸1000x667
24周孕妈莲池5d彩超产检记_青岛莲池妇婴医院【官网】-青岛妇产科医院
图片尺寸1080x720
【超声微课堂】阴道超声检查规范
图片尺寸1080x810
妇产科超声旗舰产品——美国gevolusone10四维彩超
图片尺寸554x554
业界最先进的产科四维彩超gevolusone8在我院投入使用
图片尺寸600x405
4 妇产科超声ppt
图片尺寸1080x810
开展盆底超声检查 关爱女性"难言之隐"
图片尺寸640x463
区人民医院—盆底超声检查让您的难言之隐不再难查
图片尺寸706x565
【二手9成新】产科超声检查/李胜利人民军医出版社
图片尺寸1200x1600
产科超声标准切面图 挂图
图片尺寸893x485
你了解盆底超声吗
图片尺寸1080x648
了解产科超声检查 产检不盲目对此,徐州市妇幼保健院超声医学科主任
图片尺寸660x459
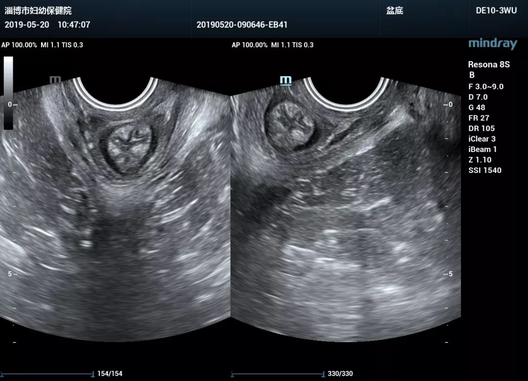
便民惠民好消息淄博市妇幼保健院盆底超声开诊啦
图片尺寸1080x780
同卵双胞胎男孩产科超声
图片尺寸1200x920
南阳市第一人民医院超声医学科关爱女性健康之---盆底超声检查
图片尺寸1055x448
妇产科超声多图讲解胎儿宫内窘迫缺氧的诊断
图片尺寸660x497
王慧芳 女性盆底正常超声图像的认识 ——后盆腔2/2
图片尺寸2340x1080
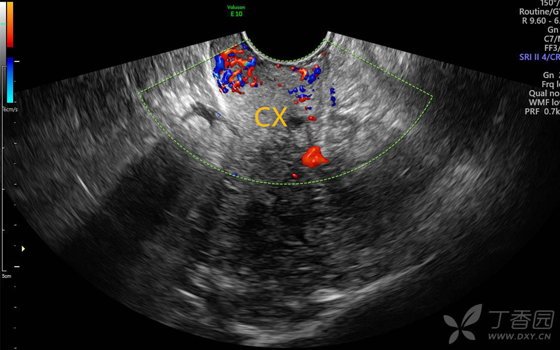
【妇科】宫颈的一团"火"(公布病理) - 超声医学讨论版 - 专业医生社区
图片尺寸1111x694
产科超声诊断 (obstetrology)
图片尺寸1024x768
便民惠民好消息淄博市妇幼保健院盆底超声开诊啦
图片尺寸1080x780