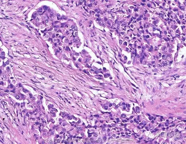
低分化腺癌

胃底体低分化腺癌
图片尺寸680x506
胃底低分化腺癌
图片尺寸793x1122
低分化腺癌?
图片尺寸600x800
胃角活检中-低分化腺癌 (附:胃镜检查报告及活检病理报告)
图片尺寸2490x3506
病理提示:中_低分化腺癌.
图片尺寸1982x2643
▼低分化腺癌的较强破坏力3▼▼破坏力轻度▼▼张力-空泡征▼▼胸膜
图片尺寸640x496
转移性低分化腺癌讨论病例【胸部等器官疾病诊断论坛病例160】
图片尺寸3120x4160
咳嗽六年,右侧低分化腺癌,伴有空洞和悬浮气泡.
图片尺寸1837x1730
转移性低分化腺癌讨论病例【胸部等器官疾病诊断论坛病例160】
图片尺寸3120x4160
(胃窦)中-低分化腺癌
图片尺寸600x800
低分化腺癌?
图片尺寸600x800
胃低分化腺癌的概述
图片尺寸640x480
低分化腺癌侵及胃壁全层,并小弯侧淋巴结 8/13>转移,并第三组淋巴结
图片尺寸4000x3000
病理:腺癌(低分化)
图片尺寸1942x1456
胸骨占位 低分化腺癌讨论病例【胸部等器官疾病诊断论坛病例181】
图片尺寸4032x3024
肺低分化腺癌误诊病例南华大学一附院
图片尺寸918x686
升结肠低分化腺癌
图片尺寸640x640
胸骨占位 低分化腺癌讨论病例【胸部等器官疾病诊断论坛病例181】
图片尺寸2100x1575
经典病例分析----胃低分化腺癌
图片尺寸3264x2448
咳嗽六年,右侧低分化腺癌,伴有空洞和悬浮气泡.
图片尺寸2667x2000