佝偻病

佝偻病的表现及预防 佝偻病是一种小儿常见病.
图片尺寸2238x1280
佝偻病
图片尺寸533x400
幼儿佝偻病很常见,很多孩子都有!(一)
图片尺寸973x1297
雨季高发儿童佝偻病决非危言耸听
图片尺寸295x364
佝偻病宝宝后脑勺图
图片尺寸500x334
【南阳市儿童医学中心 儿二科 张龙】,小儿佝偻病你了解多少呢?
图片尺寸945x946
【南阳市儿童医学中心 儿二科 张龙】,小儿佝偻病你了解多少呢?
图片尺寸1080x2868
佝偻病因影像学习
图片尺寸1125x531
佝偻病的症状佝偻病症状表现
图片尺寸400x304
孩子佝偻病是因为缺钙吗?该怎样防治?
图片尺寸363x236
孩子肋骨外翻是不是佝偻病该怎么办
图片尺寸430x275
小儿佝偻病补维生素d和钙就够了吗
图片尺寸524x393
维生素d缺乏性佝偻病
图片尺寸1080x810
漏斗胸与佝偻病的鉴别
图片尺寸500x375
用于治疗和预防小儿佝偻病,软骨病;对小儿多汗,夜惊,食欲不振,消化
图片尺寸750x688
佝偻病的体征与维生素d
图片尺寸603x454
金灿灿!婴儿佝偻病睡姿图片"首当其冲"-第2张图片-天福博客
图片尺寸1080x810
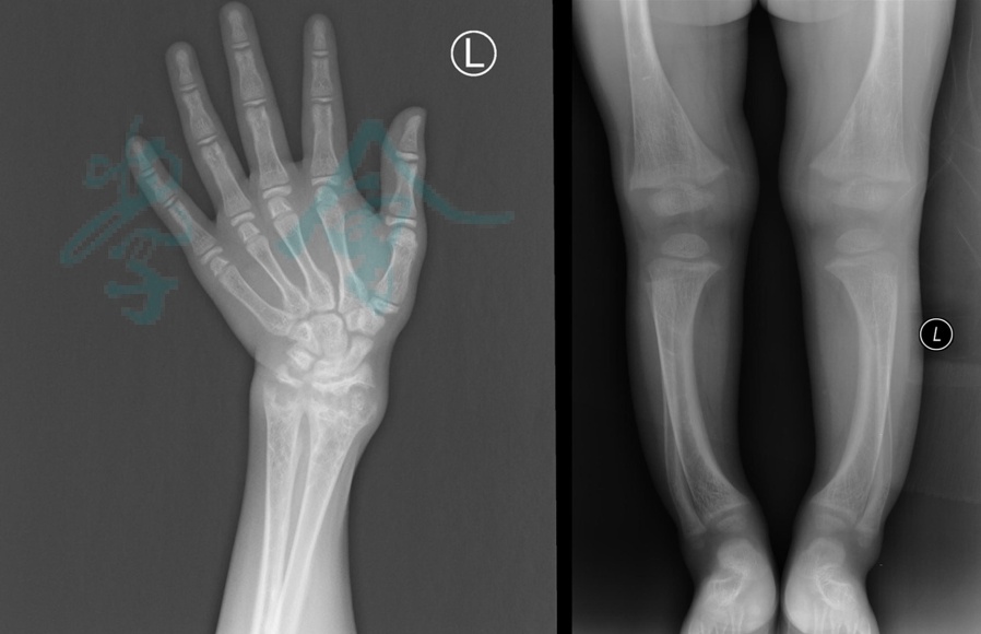
6岁双胞胎家族遗传低磷佝偻病,如何治疗?
图片尺寸1440x1905
【内分泌罕见病】最新诊断流程图,《中国低血磷性佝偻病/骨软化症诊疗
图片尺寸898x580
多久发现就晚了判断婴儿佝偻病的三种睡姿参考图片
图片尺寸720x479