侧切牙缺失正畸效果图

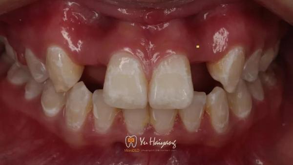
上颌侧切牙缺失后正畸 种植修复案例-薛启明副主任医师-爱问医生
图片尺寸828x552
先天缺失两个侧切牙矫正思路
图片尺寸800x800
正畸的魅力一美丽人生,笑着改变
图片尺寸640x480
侧切牙先天缺失矫正后烤瓷牙美容修复原创
图片尺寸448x336
今日原创正畸案例分享
图片尺寸1080x607
深圳牙齿矫正案例欧容霞篇│上颌先天缺失侧切牙下颌拥挤案例
图片尺寸1301x1080
种植修复侧切牙缺失
图片尺寸5472x3648
腭向错位的上侧切牙矫正过程组图原创
图片尺寸448x335
上颌侧切牙缺失后正畸 种植修复案例-薛启明副主任医师-爱问医生
图片尺寸828x645
正畸牵引联合氧化锆基台修复双侧侧切牙缺失1例
图片尺寸1080x608
【病例分享】过小侧切牙的直接修复
图片尺寸1080x825
深圳牙齿矫正案例欧容霞篇│上颌先天缺失侧切牙下颌拥挤案例
图片尺寸1301x1080
先天缺失两个侧切牙矫正思路
图片尺寸828x482
反牙合 偏牙合 侧切牙畸形过小正畸后铸瓷冠修复
图片尺寸640x426
正规牙科医院都是正畸实力派!
图片尺寸400x400
除此之外,她还有一颗侧切牙为畸形牙(过小牙),后期我还将对它进行根唇
图片尺寸690x920
导致牙根吸收的厉害,还有牙龈萎缩~所以医生建议我拔侧切牙正畸减数
图片尺寸570x428
上颌侧切牙缺失后正畸 种植修复案例-薛启明副主任医师-爱问医生
图片尺寸828x570
【前牙对刃 侧切牙反颌矫正案例】
图片尺寸828x824
正畸牵引联合氧化锆基台修复双侧侧切牙缺失1例
图片尺寸1080x607