假孕囊

请问,孕囊5/4毫米,是女宝么?
图片尺寸600x800
宫内真假孕囊的鉴别
图片尺寸372x279
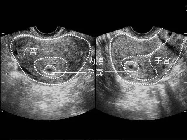
楼主doctorwangzi2009-11-20 20:22:351图为:宫内假孕囊,无胎芽,无
图片尺寸600x450
楼主doctorwangzi2009-11-20 20:22:351图为:宫内假孕囊,无胎芽,无
图片尺寸1024x768
假孕囊什么意思
图片尺寸450x339
当血hcg升高至2000iu以上,可经腹部b超找到胎囊.
图片尺寸640x479
假孕囊及节育环回声
图片尺寸720x540
真孕囊与假孕囊的区别
图片尺寸450x338
假孕囊不会随孕周的增大而增大,甚至会缩小或消失,这种情况宫外孕的
图片尺寸640x479
可以用于和异位妊娠的单蜕膜征(单囊征)或假孕囊(pseudo-sac)的鉴别.
图片尺寸489x287
超声所见:子宫稍大,宫内可见一小囊(假孕囊),右侧输卵管见明显孕囊,囊
图片尺寸704x526
囊是宫内妊娠的重要标志,它的出现可以排除宫外妊娠时宫内的假孕囊
图片尺寸400x266
医院 答: 这个没办法确定,检查的结果显示,可能是早早孕或者是假孕囊
图片尺寸816x612
超声所见:子宫稍大,宫内可见一小囊(假孕囊),右侧输卵管见明显孕囊,囊
图片尺寸600x449
可以用于和异位妊娠的单蜕膜征(单囊征)或假孕囊(pseudo-sac)的鉴别.
图片尺寸475x281
比今天的深,今天测的不是很明显,做了阴超也没看到孕囊,好像有假孕囊
图片尺寸720x960
附件包块,胚芽,原始心管搏动,子宫内假孕囊及双侧卵巢的诊断免费文档
图片尺寸1410x1958
发育迟缓既使看到也要必须注意真孕囊与假孕囊的区别请看您的百度私信
图片尺寸340x259
异位妊娠的超声诊断
图片尺寸2280x1080
超声检查诊断宫外孕的比较研究 经腹超声检查附件包块,胚芽,假孕囊,心
图片尺寸1477x2060