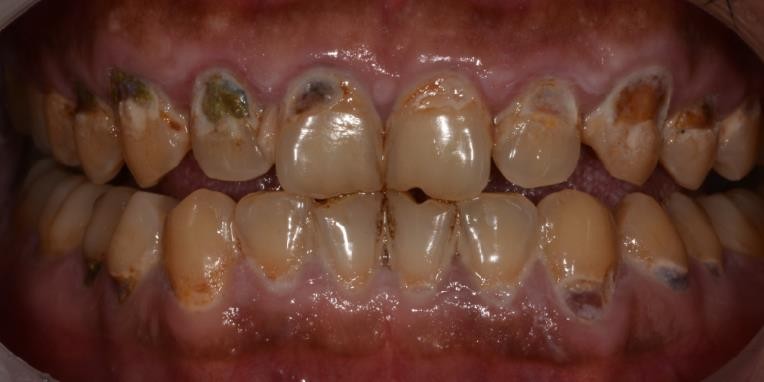
催吐腐蚀过的牙齿图片

你的这一口烂牙,你自己不觉得恶心吗
图片尺寸637x560
暴食催吐一年,牙齿内侧酸腐蚀,后腭深部溃疡
图片尺寸720x607
19岁女孩把碳酸饮料当水喝,一年后牙竟被"溶解"|碳酸饮料|牙齿|女孩
图片尺寸764x382
暴食呕吐影响颜值,美学专家告诉你如果避免形成"催吐脸"_口腔修复
图片尺寸1626x930
很久不发作品了别人以为我改行得久不久冒一下泡爰护牙齿要认认真真
图片尺寸1920x890
【牙医】预警,不得不给家长们看看这些腐蚀掉的乳牙照片!
图片尺寸640x325
碳酸饮料当水喝了一年多19岁美女一口牙齿溶解了
图片尺寸615x410
牙齿腐蚀的应对措施
图片尺寸600x800
我这牙齿是什么毛病,黄色的地方用指甲戳,感觉软软的陷下进去,有酸酸
图片尺寸772x822
牙齿腐蚀,请我我的牙齿还有救吗?
图片尺寸612x816
"大胃王"被央视批评:吃播行业是如何被搞臭的?
图片尺寸988x656
牙齿被腐蚀了
图片尺寸540x960
17个月孩子牙腐蚀了一样,每天有刷牙,是缺钙么?
图片尺寸480x318
慎入丨不得不给家长们看看这些腐蚀掉的乳牙照片!
图片尺寸1080x552
儿子一周三个月牙齿腐蚀了,有好办法解决吗宝妈们
图片尺寸400x400
第三阶段牙结石堆积得很厚牙龈肿得很厉害,牙周组织的受损,牙齿摇动的
图片尺寸640x480
奶粉腐蚀牙齿图片
图片尺寸780x1052
奶粉腐蚀牙齿图片
图片尺寸600x401
小孩被撞牙齿松动了怎么办,小孩牙齿松动被撞掉了影响出牙吗
图片尺寸500x376
这些年,有多少患者没抵住金属牙套价廉的诱惑,葬送了多少颗自体牙齿
图片尺寸1599x1199