儿牙

儿牙专栏 | 乳牙坏了需要治吗?_龋齿_龋齿介绍 - 好大夫在线
图片尺寸585x405
孩子长了双排牙,其实是"吃"引起的,孩子要多锻炼牙齿咀嚼
图片尺寸600x390
一例乳牙拔除的启示【牙医圈每日病例分享】|关爱儿牙|陕西嘉友科贸
图片尺寸675x578
昆明儿牙科普:乳牙萌出的时间与顺序是怎样的?_牙齿_上颌_下颌
图片尺寸1280x806
想到这个月的儿牙沙龙把病例资料准备下
图片尺寸1919x1279
儿牙300问第十二期用案例来学习助你成为更强口腔医师
图片尺寸452x817
口腔知识 / 儿牙
图片尺寸750x422
关爱儿牙健康,关注儿童成长
图片尺寸1536x2048
小朋友长双排牙是什么原因南昌维乐口腔看儿牙如何
图片尺寸500x333
在健美与快乐中我们一起成长——广济口腔特色科室之儿牙中心
图片尺寸1080x1080
儿牙病例儿童蛀牙的修复
图片尺寸986x462
很多的家长在 郑州友好牙科咨询儿牙专家:乳牙龋坏形成的原因 ---不
图片尺寸640x427
儿牙问题别担心儿童口腔专家葛立宏教授与你相约青苗
图片尺寸640x592
如果乳牙断了牙根还在里面怎么办-儿牙-妈妈好孕网
图片尺寸573x389
预防大于治疗植得口腔儿牙医生建议儿童龋齿早预防早治疗
图片尺寸600x400
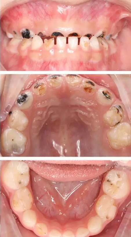
儿牙畸形照片
图片尺寸455x347
科普儿童替牙期的常见问题
图片尺寸1080x644
来自奥新全民儿牙中心 - 微博
图片尺寸499x281
家长应该知道的6大儿牙技术
图片尺寸1000x1065
儿牙图解
图片尺寸640x895