儿童乳牙

乳牙纪念盒 儿童乳牙纪念盒子女孩牙齿收藏盒男孩换牙收纳盒宝宝胎发
图片尺寸1500x2322
换牙期.小孩换乳牙的时候,如果乳牙还没掉就长出来新牙了,新牙 - 抖音
图片尺寸1440x3198
儿童乳牙还没退,新牙就长出来了,该怎么办呢?
图片尺寸560x394
健康流行病学调查结果显示,我国5岁以下儿童乳牙龋坏患病率高达66%
图片尺寸977x639
乳牙缺失的危害
图片尺寸740x440
还有点黄黄的问了儿童口腔医生,说是乳牙发育不良010101告诫
图片尺寸1080x1439
儿童乳牙蛀牙预防:家长必知指南
图片尺寸640x480
我国5岁儿童乳牙龋患率为70.
图片尺寸750x1000
生肖鸡儿童乳牙收藏纪念盒男孩女孩乳牙牙齿收纳盒宝宝掉牙保存盒
图片尺寸800x800
倍美口腔乳前牙透明冠助力儿童完美笑容——儿童乳牙补牙更好的选择.
图片尺寸1593x913
儿童乳牙预成冠该如何操作?图文视频全解!
图片尺寸576x580
哈医大四院儿童口腔科专家:预成冠——儿童乳牙的"保护伞"
图片尺寸507x425
苏州儿童乳牙滞留的原因有哪些
图片尺寸600x283
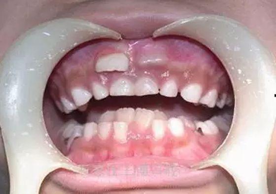
儿童恒牙已长出乳牙却迟迟不掉怎么办
图片尺寸1000x750
甚至,还有这样的说法:据国外科学家研究,儿童乳牙里干细胞的多能性
图片尺寸934x587
乳牙龋坏后不治等换可以吗?那你就大错特错了
图片尺寸580x381
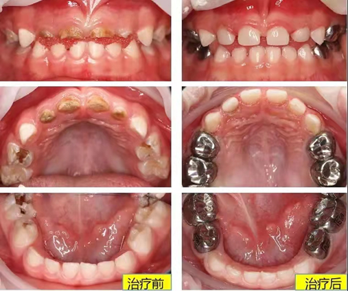
儿童乳牙龋齿充填案例
图片尺寸1080x720
孩子乳牙碰松动了怎么办小孩乳牙碰松动怎么办
图片尺寸640x338
儿童乳牙畸形需要矫正吗?
图片尺寸381x314
儿童乳牙易患"龋",了解患龋因素早发现
图片尺寸596x384