儿童双排牙齿

孩子长双排牙危害大,元凶不是糖,竟然是……_儿童牙病_儿童牙病相关
图片尺寸640x410
7岁娃长出了"双排牙",只因家长这个坏毛病,许多父母都中招了!
图片尺寸1500x1125
孩子换牙期长了双排牙,怎么办?
图片尺寸491x368
5岁娃竟然长出双排牙,只因妈妈做错了这件事!
图片尺寸768x512
如何预防孩子出现双排牙?拒绝精细喂养,鼓励孩子多咀嚼,多进食 - 抖音
图片尺寸948x696
却是父母惯娃惹的祸,家长都要警醒|乳牙|双排|牙齿_新浪新闻
图片尺寸640x442
孩子总哭喊牙疼医生双排牙都长坚实了爸妈早干吗去了
图片尺寸1200x757
越来越多孩子长双排牙与糖果无关是父母喂养有误区
图片尺寸634x361
医生:只能一颗颗拔掉,奶奶哭诉:都怪我|双排|牙齿|孙子_新浪新闻
图片尺寸2048x1519
孩子为啥会长"双排牙"?跟这些坏习惯有关系,家长要了解
图片尺寸624x617
根据国际儿童牙科协会的数据显示,30%的孩子都会长双排牙,而这个数据
图片尺寸1080x690
父母晒孩子双排牙齿,还以为是孩子"发育好",网友:赶紧送医院
图片尺寸729x585
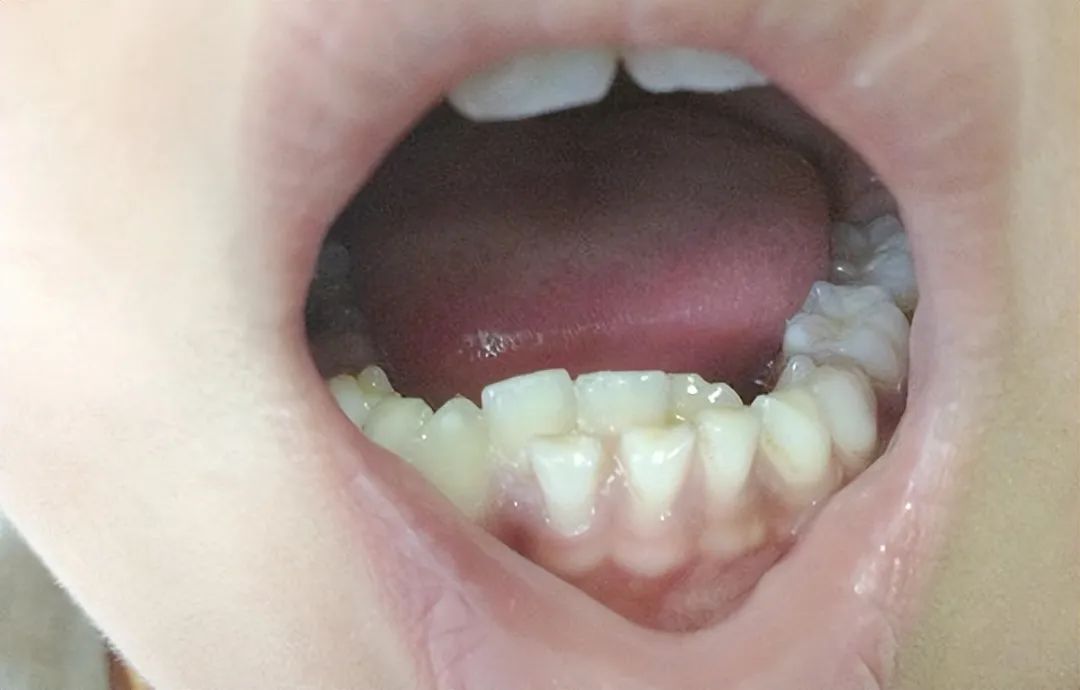
孩子7周岁,双排牙,怎么操作?
图片尺寸3456x4608
7岁男孩长出双排牙需要一颗颗拔掉竟然是因为这个坏习惯
图片尺寸830x439
我们为您提供以下详细医学知识,家庭预防和处理儿童"双排牙"的方法等
图片尺寸640x473
孩子长出"双排牙"?和孩子发育无关,家长应该自我反省
图片尺寸748x548
儿童双排牙图
图片尺寸750x500
10个孩子里5个长双排牙,医生感叹:都是家长喂出来的
图片尺寸720x480
长出"双排牙" 家长注意:皆因孩子饮食太精细|乳牙|恒牙|牙齿_新浪新闻
图片尺寸400x533
孩子长出电影中"异形"般的双排牙齿,家长惊慌:莫非宝宝是超人
图片尺寸640x853