儿童室管膜瘤

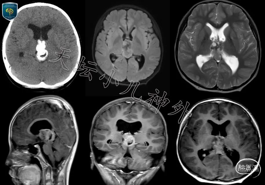
儿童四脑室巨大室管膜瘤的显微外科手术病例_小儿脑肿瘤_治疗方式
图片尺寸2000x668
宫剑教授病例分享二十八两例幼儿无症状巨大间变性室管膜瘤值得深入
图片尺寸611x457
手术治疗儿童脑干巨大室管膜瘤. - 好大夫在线
图片尺寸532x652
病例分析:室管膜瘤诊断要点
图片尺寸640x874
精选病例(颈3-5髓内肿瘤——室管膜瘤)_室管膜瘤_室管膜瘤治疗方式
图片尺寸1276x1702
让爱击败你——手术治疗四脑室间变型室管膜瘤
图片尺寸640x640
室管膜下瘤神经系统影像诊断
图片尺寸644x1020
儿童室管膜瘤放疗可以治愈吗?室管膜瘤怎么治疗?
图片尺寸814x554
颈髓髓内室管膜瘤的手术治疗_室管膜瘤_室管膜瘤治疗方式 - 好大夫
图片尺寸794x804
贺晓生教授谈儿童脑瘤:儿童四脑室室管膜瘤手术 - 微医(挂号网)
图片尺寸800x600
上海长征医院蒋磊副教授一例儿童后颅窝间变性室管膜瘤的诊治
图片尺寸554x204
室管膜瘤非常常见于5岁以下的儿童.但是,它们可能在任何年龄发展.
图片尺寸794x794
室管膜瘤_室管膜瘤_介绍_症状表现_检查_治疗方式 - 好大夫在线
图片尺寸3968x2976
颅内室管膜瘤的影像诊断要点
图片尺寸631x462
室管膜下瘤
图片尺寸496x561
什么是室管膜瘤?好发于哪些部位?
图片尺寸762x562
脑室内室管膜瘤的影像诊断及鉴别丨影像天地
图片尺寸600x600
幕上室管膜瘤3
图片尺寸1280x720
手术治疗室管膜下巨细胞星形细胞瘤
图片尺寸640x375
宫剑教授病例分享202115罕见病一例儿童三室内室管膜瘤的诊疗体会兼论
图片尺寸914x639