儿童牙胚

1:当代小孩营养好,牙胚的发育较以前早,往往恒牙长出来了乳牙都还没有
图片尺寸451x317
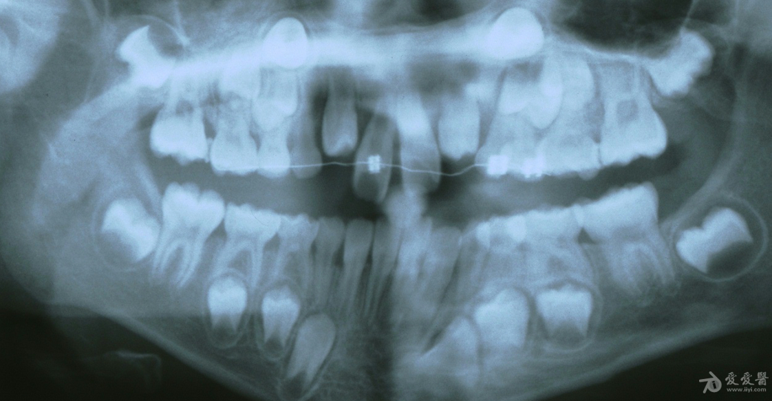
片子显示恒牙胚正在往上顶
图片尺寸1122x583
南阳9岁男孩长出70多颗小牙,这是什么怪病?
图片尺寸600x600
原以为双排牙比较少,跟医生了解之后才知道,据国际儿童牙科协会统计的
图片尺寸1094x780
(图中显示为颌骨内的恒牙胚)
图片尺寸402x367
6710个孩子7个蛀牙这个误区千万不能有
图片尺寸643x590
每颗乳牙预留位置都是为了引导新的恒牙胚长到正确的位置乳牙迟早要换
图片尺寸479x432
乳牙图片_乳牙高清图片_全景视觉
图片尺寸390x260
恒牙胚倒置埋伏还能保留吗
图片尺寸610x356
小锯齿通常是分三叶的,由于牙齿在原始胚胎发育时由三个发育叶融合
图片尺寸1080x606
很多家长认为宝宝出牙后,就应该给宝宝刷牙了.
图片尺寸361x270
正常情况下,恒牙胚位于乳牙根的靠近舌头的那一侧,恒牙在萌出过程中
图片尺寸492x311
当然,以上所说的都是非正常情况,正常情况是牙胚发育正常,未见多生牙
图片尺寸1920x1114
双排牙乳牙还没下岗恒牙急着上岗
图片尺寸1080x608
乳牙脱落与恒牙胚关系密切,那么,儿童乳牙迟迟不脱落有可能就是恒牙牙
图片尺寸533x300
儿童牙齿剖面模型 医患沟通乳牙牙粒医患沟通演示 口腔乳牙
图片尺寸800x800
儿童天生少一颗恒牙怎么办这种先天性牙胚缺失该如何治疗
图片尺寸985x657
宝宝蛀牙换牙就好了千万不要被传言毁了孩子的小白牙
图片尺寸600x600
孩子长双排牙危害大,元凶不是糖,竟然是……_儿童牙病_儿童牙病相关
图片尺寸640x410
淘气的新牙又长歪了为什么你总不走寻常路
图片尺寸705x469