儿童牙齿不齐矫正图片

换牙期的牙齿不齐矫正1
图片尺寸1920x1280
最勇敢的整牙小患者 3岁【地包天】
图片尺寸1920x1280
姚森儿童反咬合的早期矫治22x4局部矫治器的应用科贸嘉友收录
图片尺寸560x762
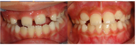
小孩子牙齿不齐错颌畸形怎么办
图片尺寸697x467
牙齿矫正
图片尺寸1080x1439
牙齿矫正的好处还蛮多的!牙不齐的你一定要看!
图片尺寸640x480
孩子什么年纪做牙齿矫正最合适(三个月大的宝宝就要去正畸)(1)
图片尺寸640x472
>>儿童牙齿不齐是怎么引起的?该怎么进行矫正?
图片尺寸441x299
yxz儿童牙齿矫正器夜间纠正龅牙反颌地包天深覆颌不齐口呼吸不良习惯
图片尺寸800x800
因为牙齿矫正不是矫正个别的牙齿,而是矫正整个口腔,只矫正一颗牙齿
图片尺寸534x277
早期矫正的黄金时机改善面部外观,有益于儿童身心健康成长.
图片尺寸1080x1172
姚森:儿童反咬合的早期矫治(2)——"2x4"局部矫治器的应用 科贸嘉友
图片尺寸500x678
前牙反合矫治一例
图片尺寸640x640
迎春节送健康哈医大一院口腔正畸专家提示儿童牙齿不齐需要及时矫治
图片尺寸550x183
上海儿童牙齿不齐做正畸治疗是否有必要凌姿医生告诉你答案
图片尺寸3696x2448
针对家长在乳牙及替牙期不重视,以为换牙后牙齿会变整齐正常的误区!
图片尺寸1952x2592
儿童常见的"四大牙齿问题"怎么处理?几岁正畸最合适?
图片尺寸447x571
儿童牙齿矫正好不好
图片尺寸813x528
小孩子牙齿不齐错颌畸形怎么办
图片尺寸650x434
儿童矫治牙齿不齐,男孩一般在12~15岁,女孩一般在11~13岁.
图片尺寸488x274