儿童牙齿咬合图片

没注意宝宝两颗牙长在一起了
图片尺寸600x343
我们在网上也看到很多推文说孩子牙齿不齐和口呼吸有关,还有家长在
图片尺寸640x427
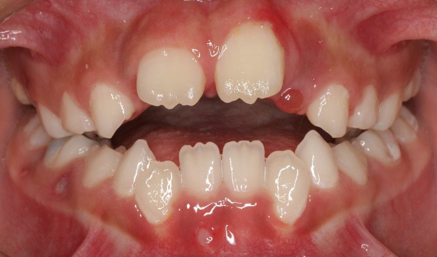
前牙反(牙合)牙齿图
图片尺寸750x500
关于幼儿(1-2岁)乳牙反颌病例的早期治疗,牙齿矫正,乳牙反颌病例,牙齿
图片尺寸400x268
最勇敢的整牙小患者 3岁【地包天】
图片尺寸1920x1280
小孩牙齿深覆合几岁矫正比较合适
图片尺寸600x400
儿童时期出现开颌该怎么办可以牙齿矫正吗
图片尺寸500x335
畸形的早期矫治有助于儿童:(1)上,下颌骨更协调的生长;(2)避免因牙齿
图片尺寸884x520
孩子7岁了牙齿重叠牙,门牙有点变形,挺着急.
图片尺寸600x800
就会影响恒牙的正常生长,导致牙齿错位,排列不齐,咬合不正
图片尺寸503x690
丁香园
图片尺寸3264x2448
牙齿不整齐,下巴总是往前伸,不仅看起来不好看,还要影响咀嚼功能,发音
图片尺寸2742x2000
现在孩子牙颌畸形的比例年年上涨,乳牙滞留,乳牙反咬合,牙齿参差不齐
图片尺寸500x320
孩子牙齿地包天怎么办
图片尺寸624x504
最勇敢的整牙小患者 3岁【地包天】
图片尺寸1920x1280
小朋友5周岁,有地包天,居住深圳,小朋友矫正牙齿能不能走医保卡?
图片尺寸1080x1439
孩子牙齿咬合不好一定要尽早就诊
图片尺寸601x261
通俗说,正常咬合时,上牙应部分盖住下牙,而咬合时下牙包住了上牙,即为
图片尺寸1600x1200
儿童时期「牙齿反颌」那些事
图片尺寸671x934
写美篇2,替牙期严重的牙齿拥挤
图片尺寸800x533