儿童牙齿坏掉图片

368元 口腔项目 儿童补牙 恢复时间 7天 收藏 儿童牙齿相对成人
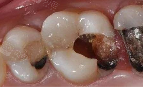
图片尺寸400x400
孩子牙齿烂了,到底该不该看?
图片尺寸800x651
首先各位家长先来看几张牙齿龋坏的图片
图片尺寸600x357
1岁7个月孩子刚出来的牙全部都坏了,只因妈妈这么做
图片尺寸640x435
5岁的宝宝牙齿全部坏完了要治疗嘛?求经验
图片尺寸1080x1080
2,孩子牙齿龋坏会降低咀嚼效率,食物嚼不碎会增加肠胃负担,对身体的
图片尺寸1709x1878
要尽早带孩子去口腔医院检查拍片,看牙齿的具体情况,不疼说明只是牙齿
图片尺寸480x500
爱护牙齿限糖减酸
图片尺寸550x361
千万别等到孩子牙齿发黑或疼痛才开始看牙医否则多花钱还遭罪
图片尺寸600x380
但牙医们发现,儿童大量摄入糖还可能造成龋齿,这带来的危害更大.
图片尺寸640x426
儿童龋齿. 坏牙齿
图片尺寸700x394
宝宝一口坏牙,糖果表示并不"背锅",竟是因为父母做错了这些事
图片尺寸640x480
牙齿龋坏对儿童的牙齿龋照片
图片尺寸617x300
想必家长最大的疑惑就是, 才几岁的孩子牙齿没长多久怎么就坏了呢?
图片尺寸2000x1340
儿童乳牙蛀牙细节图
图片尺寸420x272
如今,越来越多的小孩都有这些情况:小小年纪,牙齿有黑斑,严重
图片尺寸640x480
牙齿龋坏照片
图片尺寸500x305
小孩子的牙坏了,新牙长出来长偏了
图片尺寸2448x3264
这样严重的牙齿缺失,会影响儿童的咀嚼功能,食物不能完全的被牙齿研磨
图片尺寸1023x682
5岁男孩牙齿全坏!最伤牙齿的居然不是糖,而是.
图片尺寸640x480