儿童牙齿畸形图片

儿童牙颌畸形的几个不良习惯
图片尺寸1280x854
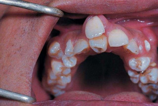
8岁小孩长出畸形双排牙,听完牙医的诊断报告,父母愣住了!
图片尺寸640x428
孩子牙齿出现这些畸形要注意
图片尺寸433x355
丁香园
图片尺寸3264x2448
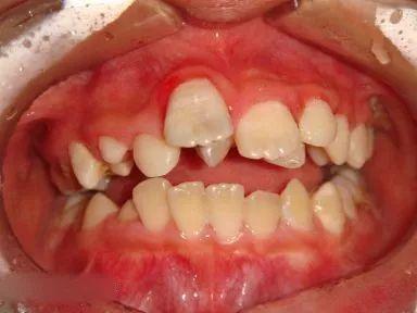
牙齿中间的小尖尖.
图片尺寸1080x1160
牙齿畸形有哪些种类?
图片尺寸446x241
畸形牙一例
图片尺寸1040x780
12岁前必须处理的12种儿童牙颌畸形_牙齿
图片尺寸900x592
8岁小孩长出畸形双排牙, 牙医说都是父母的错
图片尺寸640x682
求儿童牙齿畸形中央尖的治疗方案?
图片尺寸3456x2304
儿童门牙长歪图片(当孩子出现这20种牙颌畸形问题) - 赤虎壹号
图片尺寸1200x799
孩子牙齿出现这些畸形要注意
图片尺寸554x228
"发现即矫正"——12岁前必须处理的儿童牙颌畸形
图片尺寸620x424
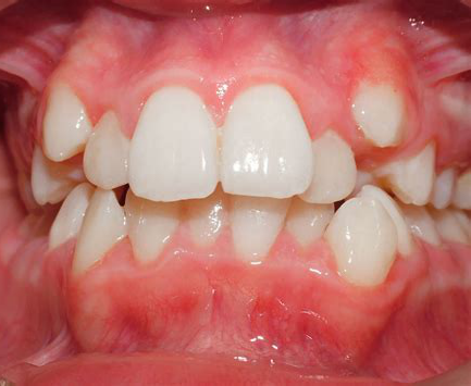
错颌畸形. 上颚牙齿拥挤照片
图片尺寸463x300
越早看牙医越好!12岁前应该处理的20种儿童牙颌畸形!
图片尺寸384x288
青岛牙齿矫正丨12岁才能矫牙?错!这20种儿童牙颌畸形12岁前必须处理
图片尺寸1000x562
杭州龅牙正畸科普 龅牙是一种比较常见的牙齿畸形
图片尺寸480x300
这小孩牙齿畸形如何处理见图
图片尺寸2592x1944
儿童牙齿没换完不用矫正其实是这样
图片尺寸652x413
仙游牙齿矫正:孩子出现畸形牙都有哪些原因呢?
图片尺寸573x300