儿童牙齿瘘管图片

两岁宝宝牙龈瘘管
图片尺寸500x375
小小瘘管大秘密.#儿童蛀牙 #我的诊室日常 7岁的孩子,牙齿 - 抖音
图片尺寸1024x1020
不及时治疗这种病,你将会获得一次"杀死神经"的体验 | 过日子_牙齿
图片尺寸800x535
根管治疗后牙龈有一颗疙瘩怎么办
图片尺寸456x373
p>牙龈瘘管是一种牙科常见疾病.
图片尺寸555x412
那今天就跟大家介绍一下牙齿涂氟和窝沟封闭式怎么回事. 1.
图片尺寸577x433
经久不愈的瘘管,久治不愈的根管 科贸嘉友收录
图片尺寸500x336
斯曼科普 ▏给牙齿穿上铠甲,一起成为战齿勇士
图片尺寸1080x802
牙龈瘘管是啥「牙龈瘘管是个洞还是个包」-友友
图片尺寸646x502
瘘管
图片尺寸446x252
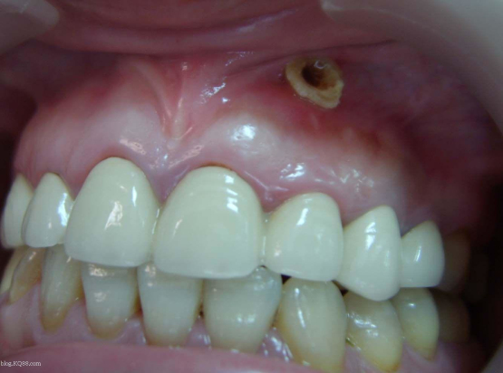
槽骨遭到破坏,吸收,便在牙龈上鼓起一个脓包,形成从根尖到牙根的瘘管
图片尺寸780x1040
牙齿根尖脓瘘,治疗前,中,后的图片对照,完善根管治疗后脓瘘明显消失了
图片尺寸492x369
提问者采纳 2013-01-07 21:59 是有个牙齿牙根发炎了,长的瘘管,要去
图片尺寸208x184
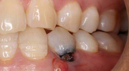
牙龈上长了个脓包,可以挑破吗?
图片尺寸507x282
牙根发炎(主要在严重的蛀牙,填充过的牙齿和根管治疗的患者中)当炎症
图片尺寸1200x801
开学第一天,三年级小男孩嘴里长出脓疱,竟是忽视每天
图片尺寸538x460
根尖片:44根尖及近中根周阴影. 诊断:44慢性根尖周炎伴瘘管.
图片尺寸549x304
一例难得的右上7的四个根管病例
图片尺寸640x853
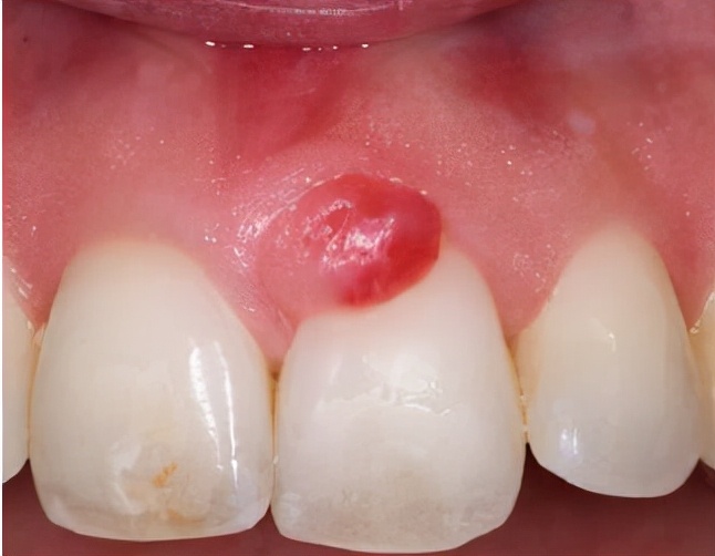
图5 5岁家族性低磷酸血症佝偻病患儿右上乳中切牙唇侧牙龈瘘管(2)治疗
图片尺寸400x266
2019-03-19 展开全部 你这是牙龈牙根发炎了,这个包是根尖瘘管
图片尺寸540x720