儿童牙齿矿化

的儿童牙膏,每天早晚刷牙,促进牙釉质再矿化,解决孩子牙齿脱矿的问题
图片尺寸499x261
2,儿童牙齿有脱落的现象,要注意不要吃太硬的现象,适当给孩子补充点钙
图片尺寸508x622
儿童换牙期会变成"丑小鸭"?
图片尺寸335x214
宝宝牙齿脱矿原来是这么回事
图片尺寸855x518
儿童口腔涂氟好不好儿童牙齿涂氟价格一般是多少
图片尺寸500x334
宝宝牙齿的这5种问题你必须要重视
图片尺寸360x240
宝宝前门牙有点钙化怎么办婴幼儿牙齿钙化会自愈恢复吗
图片尺寸2000x1340
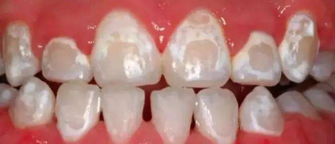
下面这位宝宝的牙齿有很多颗都出现了不同程度的脱矿,牙垢堆积明显
图片尺寸500x358
儿童牙釉质发育不全: 釉质发育不全属于釉质发育异常,是牙齿结构异常
图片尺寸500x350
宝宝牙齿出现白斑妈妈们赶紧了解一下乳牙脱矿
图片尺寸674x291
早期的脱矿只是牙齿颜色发生改变,任由发展下去就会像下面这张图一
图片尺寸501x404
孩子牙齿脱矿是蛀牙的迹象,各位家长是不是都不知道?
图片尺寸434x258
儿童专业牙膏护牙剂宝宝牙齿上有白点别忽视
图片尺寸867x867
娃牙齿上的黑斑去也去不掉…… - 知乎
图片尺寸638x448
儿童牙齿钙化及早发现
图片尺寸500x361
而在ph升高后,牙面因脱矿产生出来的钙,磷又会发生再矿化,软化牙齿
图片尺寸520x257
另有甘油磷酸钙补充钙,双重保护牙釉质,比如吉兰草莓味儿童牙膏等等
图片尺寸580x350
368元 口腔项目 儿童补牙 恢复时间 7天 收藏 儿童牙齿相对成人
图片尺寸400x400
乳牙脱矿是怎么回事知道这些就能帮孩子保护好牙齿
图片尺寸550x350
乳牙_牙齿_恒牙
图片尺寸507x425