儿童牙齿错位图片

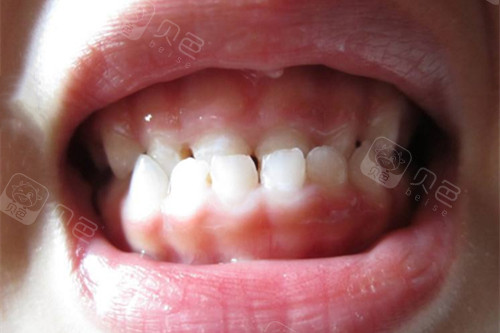
孩子牙齿出现这些畸形要注意
图片尺寸433x355
它们占据了正常牙的位置,致使这些正常的牙齿出现错位或萌出障碍
图片尺寸450x294
各种畸形的牙齿图片(当孩子出现这20种牙颌畸形问题) - 赤虎壹号
图片尺寸1200x799
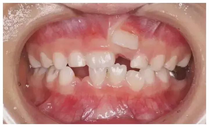
女儿新换的牙齿下颚长出来有两颗严重错位,请问有知道的网友知道能
图片尺寸1024x1024
如果乳牙就是不掉,各位家长一定要带来医院拔除,不然牙齿会长歪,错位
图片尺寸1080x1440
2,牙齿咬合不正,重齿等3,个别牙出现严重错位,兜齿等4,孩子的不良习惯
图片尺寸2000x1340
暂不处理;严重者,表现为个别或多个牙齿在各个方向的错位;而且牙齿
图片尺寸500x300
越早看医生越好!12岁前应该处理的20种儿童牙颌畸形
图片尺寸658x519
儿童牙错位的原因有哪些
图片尺寸532x365
如果不及时把占位的乳牙拔掉,就会影响恒牙的正常生长,导致牙齿错位
图片尺寸503x690
父母晒孩子双排牙齿,还以为是孩子"发育好",网友:赶紧送医院
图片尺寸1000x750
小孩子牙齿为什么会不整齐呢?
图片尺寸400x253
导致部分甚至全部被占据,以致恒牙错位萌出或埋伏阻生而形成牙颌畸形
图片尺寸400x208
那么,为了防止这些疾病发生,牙齿错位应该怎么矫正呢?
图片尺寸450x298
尤其是还在发育期的宝宝,发现孩子牙齿有排列不齐或稀疏,错位等问题
图片尺寸500x333
宝宝牙齿越换越难看,双排牙惹的祸?错!医生:喂养习惯危害太大
图片尺寸720x440
导致恒牙萌出受阻,出现萌出顺序异常,或错位萌出,埋伏阻生,造成牙齿
图片尺寸554x228
这是一种常见的牙齿和颌骨的发育畸形,上门牙错位在下门牙的后侧,前牙
图片尺寸1000x617
不是迷信,真实原因很暖心|恒牙|乳牙|牙齿_新浪新闻
图片尺寸640x473
阻生牙是指牙齿部分萌出或完全不能萌出,并且以后也不能萌出的牙.
图片尺寸384x288