儿童牙齿龋坏图片

小孩牙齿涂氟多少钱1次(10个宝宝7个龋齿) - 价格百科
图片尺寸900x600
3岁男孩得奶瓶龋,一口牙竟烂16颗 妇儿医院治疗小黑牙变小白牙
图片尺寸800x533
儿童龋齿① 浅龋:一般局限于釉质(牙冠部)或牙骨质(牙根部),牙齿表面
图片尺寸500x377
什么原因引起如此严重的龋齿
图片尺寸640x480
现在越来越多小孩牙齿龋坏,这是一位11岁小朋友的六龄齿.4个 - 抖音
图片尺寸1440x1920
2,孩子牙齿龋坏会降低咀嚼效率,食物嚼不碎会增加肠胃负担,对身体的
图片尺寸1709x1878
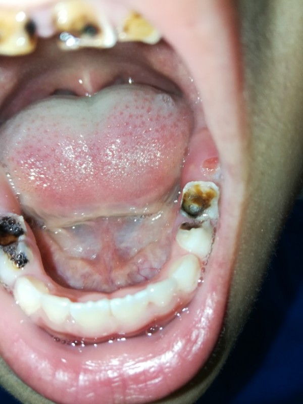
小孩子七岁,牙齿蛀成这样,可以补吗?
图片尺寸600x800
和糖果没有关系,是父母的坏习惯所导致|喝夜奶|龋齿|母乳|牙齿_网易
图片尺寸418x274
严重龋齿的图片_有来医生
图片尺寸714x500
蛀牙对儿童牙齿发育的危害,这里就不多说了,蛀牙形成的根源是口腔环境
图片尺寸500x500
孩子乳牙龋坏要及时治疗!_儿童齿科_相城牙博士口腔【官网】
图片尺寸452x300
宝宝的乳牙保护不好,恒牙也非常容易受影响,要知道,牙齿的好坏可是会
图片尺寸600x450
造成大面积龋坏,甚至很快进展到牙髓引起牙髓及根尖炎症,在儿童
图片尺寸1000x667
牙齿龋坏照片
图片尺寸500x317
严重龋齿的图片_有来医生
图片尺寸500x666
临床科室 儿童口腔科 口腔百科 处理:考虑到患牙的具体龋坏程度
图片尺寸521x429
6岁的小孩龋齿洞填充后填充物没有多久就掉了该怎么办
图片尺寸580x350
儿童龋齿症状示意图
图片尺寸420x246
我国近4成儿童有虫牙!保护孩子牙齿,家长应该怎么做?|龋齿_新浪新闻
图片尺寸690x400
三沙市龋齿医院_三沙市治疗龋齿哪家医院好_三沙市治疗龋齿权威的医院
图片尺寸710x400