儿童牙齿x光片

本次检查,包含一张全景x光片,本x片使用儿童专用x光机(x光片为电子版
图片尺寸600x389
儿童牙科x光全景图
图片尺寸941x1200
用x光照射七岁男孩的牙齿
图片尺寸1200x900
> 帖子详情 (没想到宝宝的牙齿在x光下是这样的吧:) 误区三:乳牙不
图片尺寸1250x784
x光下的婴儿满脸都是牙?_牙齿_恒牙_乳牙
图片尺寸600x801
5岁宝宝的牙齿影像
图片尺寸1080x809
保护牙齿要趁早,特别
图片尺寸400x243
x光照片中的人类身体长啥样感受人体的奥妙之处
图片尺寸584x418
观测的问题此外为宝贝拍摄牙齿x光全景片促进儿童健康成长全面预防
图片尺寸673x700
孩子换牙期间的x光片也太恐怖了!下颌骨里藏的全是牙齿,哈哈哈
图片尺寸450x449
全景牙科 x 射线八岁儿童的问题不松动他的乳牙-持续乳牙
图片尺寸700x467
儿童牙齿x光片
图片尺寸1123x701
x光片上可以看出孩子下面的恒牙已经快到骨以上了,所以如果孩子的牙齿
图片尺寸501x284
烂不烂我不知道,不过学长实习的时候发的一张片子属实令我长见识了
图片尺寸720x459
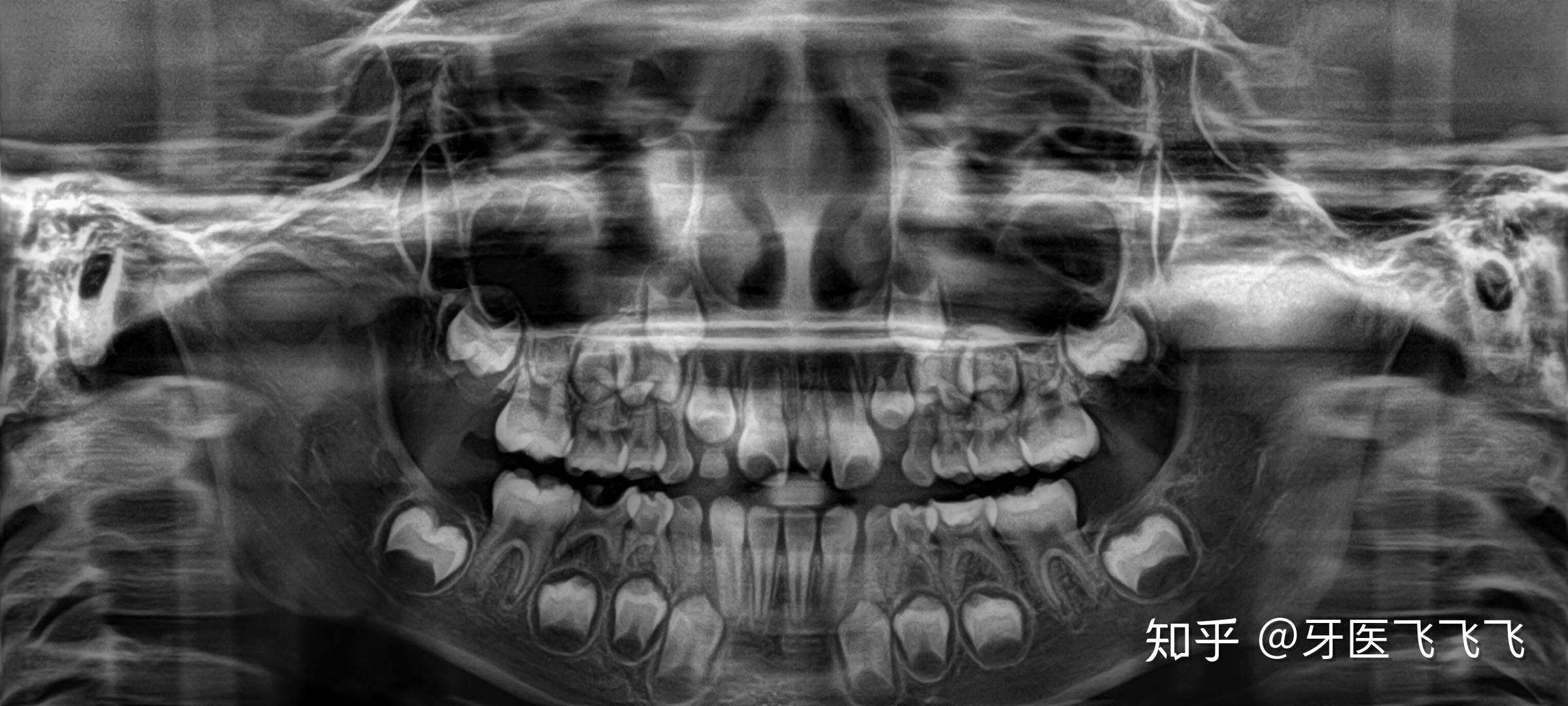
看牙齿的x光片如何看出牙齿是恒牙还是乳牙
图片尺寸2398x1080
乳制品和新儿童牙齿的x光照片
图片尺寸700x467
全面讲解儿童拍牙片没有防护的辐射和危害
图片尺寸580x435
改善不良的颌骨生长型关系,引导上下颌骨的协调发育,促进儿童牙,牙合
图片尺寸828x456
颚部的x光片显示有整齐的乳牙
图片尺寸1200x786
婴儿乳牙x光检查
图片尺寸1200x962