儿童牙龈发黑图片简介

哪位妈妈知道宝宝牙龈上的黑点是什么啊,很着急!
图片尺寸400x400
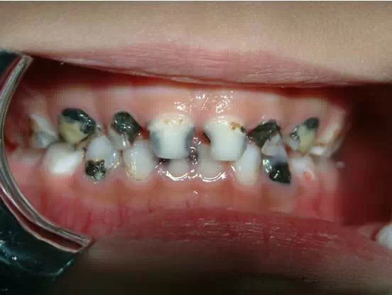
医生你好孩子牙齿上有黑色的斑是龋齿吗
图片尺寸605x335
幼儿园一个班级里,5个孩子是"小黑牙",原因却不是吃糖果
图片尺寸637x440
【图】牙龈变黑是怎么回事 暗示三大健康因素
图片尺寸400x400
02有妈妈问儿童牙齿上的黑色东西是啥? - 抖音
图片尺寸1000x505
求鉴定,宝宝牙龈上黑了一块 之前以为是瘀血,可是一个礼拜过去了好像
图片尺寸768x1024
3岁小朋友牙齿有个洞,想看看是不是虫牙,北京补个牙去哪个公立儿童
图片尺寸500x666
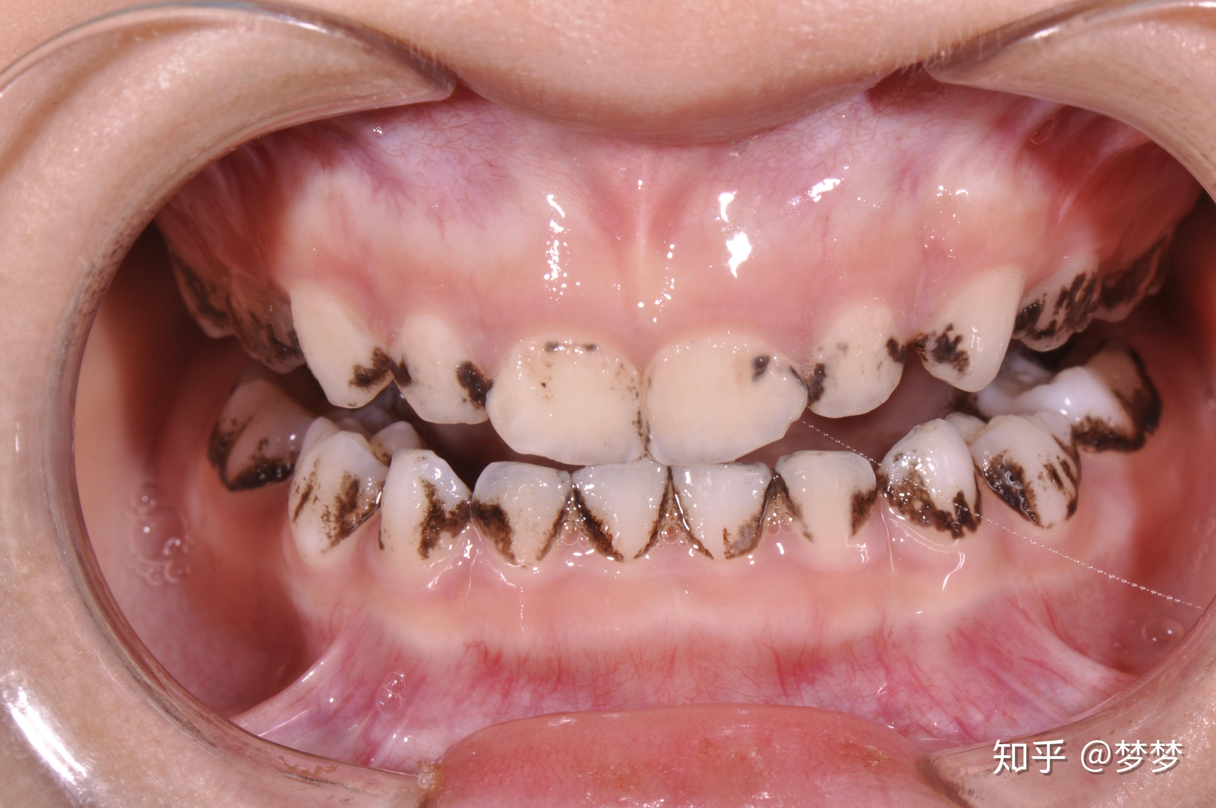
三岁宝宝的牙齿黑怎么办?
图片尺寸4096x2720
小孩子牙齿变黑,大部分都是这样造成的,年轻爸妈注意了
图片尺寸949x568
10岁小孩牙齿黄黑怎么办?
图片尺寸768x1024
牙齿发黑图片6
图片尺寸400x444
一岁半宝宝牙齿上有黑色线状
图片尺寸518x921
宝宝牙齿上有黑是什么情况?
图片尺寸4288x2848
求鉴定,宝宝牙龈上黑了一块 之前以为是瘀血,可是一个礼拜过去了好像
图片尺寸768x1024
宝宝牙齿色素沉着怎么处理
图片尺寸508x622
蛀牙是导致牙齿变色发黑的原因之一,由于致龋细菌侵
图片尺寸552x416
一岁宝宝大牙牙龈出现一个青黑色的包
图片尺寸1080x1717
小孩的牙齿黑黑的是什么有没什么办法去掉
图片尺寸600x450
5岁娃牙齿全变黑牙罪魁祸首不是糖果而家长却时常忽略
图片尺寸640x553
三岁宝宝牙齿发黑是怎麼回事
图片尺寸320x240