充盈缺损

所有分类 医药卫生 临床医学 医学影像学第七版_胃肠道ppt 充盈缺损
图片尺寸1080x810
食管中下段腔内不规则充盈缺损
图片尺寸1080x810
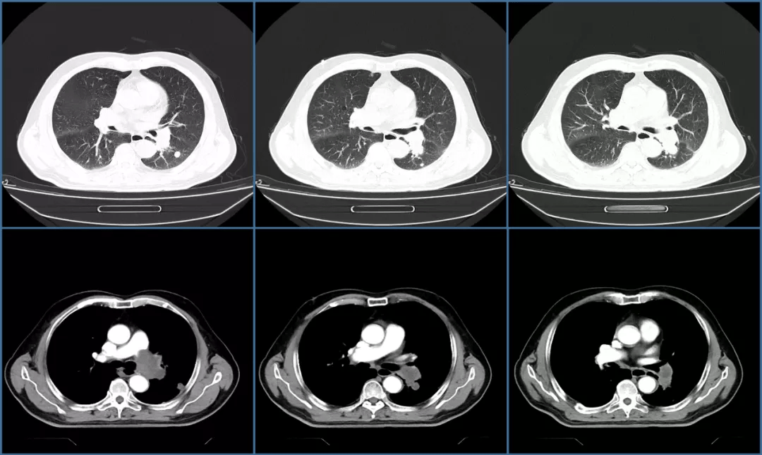
图3b 肺动脉期右肺动脉水平ct可清晰示肺动脉充盈缺损(左,右肺动脉)
图片尺寸640x521
肺动脉血管造影示右下肺动脉主干部分充盈缺损
图片尺寸550x330
一例楔状缺损的充填
图片尺寸640x423
及应用 胃癌相关知识讲座1ppt 参考许多精品ppt 在此感谢 充盈缺损
图片尺寸959x540
楔状缺损树脂仿生充填技术与术后敏感控制
图片尺寸497x332
外压性改变;充盈缺损;憩室;腔内龛影?
图片尺寸1080x810
什么是楔状缺损
图片尺寸520x330
这样的充盈缺损是肺栓塞
图片尺寸1080x1049
这样的充盈缺损是肺栓塞
图片尺寸1080x815
【识图断案】ct出现低密度的动脉管腔内充盈缺损,咋诊断?
图片尺寸512x512
肺动脉内的充盈缺损还有可能是这个病,你知道吗?
图片尺寸640x464
这样的充盈缺损是肺栓塞
图片尺寸1080x414
楔状缺损的树脂充填
图片尺寸640x480
ct 血管成像显示肺静脉和右下肺叶实质充盈缺损(箭头),造影剂弱
图片尺寸328x280
这样的充盈缺损是肺栓塞
图片尺寸1080x702
这样的充盈缺损是肺栓塞
图片尺寸1080x645
这样的充盈缺损是肺栓塞
图片尺寸1080x557
低热肺部阴影充盈缺损血栓以外还有哪些其它原因值得探寻
图片尺寸1080x871