克雅病

克雅氏病影像表现_医学界-助力医生临床决策和职业成长
图片尺寸960x720
克雅氏病.ppt
图片尺寸1152x864
科学讨论有可以传染的痴呆病吗
图片尺寸396x599
克雅病creutzfeldtjakobdiseasecjd双语字幕
图片尺寸1152x720
克雅氏病
图片尺寸500x308
neurol:八成克雅病患者首次就诊被误诊
图片尺寸1000x611
cjd病 克雅病
图片尺寸842x405
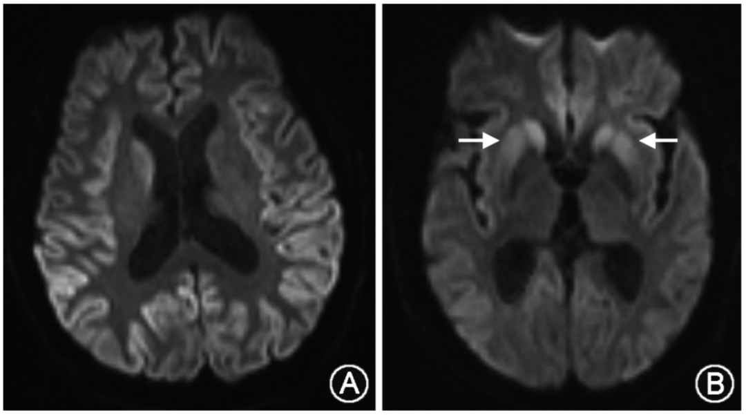
「如果你看过的克雅病患者的磁共振片子足够多,你就会发现,克雅病几乎
图片尺寸559x541
克雅病(cjd)
图片尺寸640x387
克雅病
图片尺寸1080x543
克雅病(cjd)
图片尺寸640x382
neurol:八成克雅病患者首次就诊被误诊
图片尺寸400x315
和阿尔冯斯·雅各(alfons jakob),同时第一次记录了一种新的人类疾
图片尺寸640x416
克雅病(cjd)
图片尺寸640x537
克雅病
图片尺寸1080x605
克雅病会造成大脑的严重损伤(图片来源:pract neurol [cc by 4.
图片尺寸550x708
认识克雅氏病的脑电图表现
图片尺寸644x418
克雅氏病
图片尺寸1024x768
适合中国人的克-雅病诊断「指南发布」(2021)_症状_疾病_病患者
图片尺寸1080x601
克雅病
图片尺寸1080x582