免疫组化图片怎么看

免疫组化报告看不懂
图片尺寸828x1104
你也可以学会的简单生信分析 免疫组化发2分 sci
图片尺寸640x726
原创纯生信文章补几张免疫组化真的很重要
图片尺寸1080x521
一文带你学习 3 种最常用的免疫组化结果分析方法
图片尺寸641x285
看看我的骨髓免疫组化
图片尺寸1919x2560
免疫组化结果,请大家帮忙看看
图片尺寸750x562
三阴性乳腺癌/基底样型乳腺癌免疫组化特征
图片尺寸1640x2195
渭南市第二医院病理科成功开展免疫组化染色与诊断技术
图片尺寸1080x1103
免疫组化
图片尺寸1356x1108
急急急免疫组化怎么看阳性区域
图片尺寸1080x810
免疫组化结果 能详细解释一下都代表什么意思吗 学习学习
图片尺寸744x992
【请教】免疫组化图片解读
图片尺寸394x337
免疫组化(ihc)
图片尺寸650x501
读文献,学病理-乳腺癌部分免疫组化详解(三)
图片尺寸1950x990
ppt做sci论文图⑤——免疫组化放大效果图
图片尺寸548x448
干货免疫组化的成功经验和失败教训看这篇就够了
图片尺寸900x600
读文献,学病理-乳腺癌部分免疫组化详解(三)
图片尺寸1399x1055
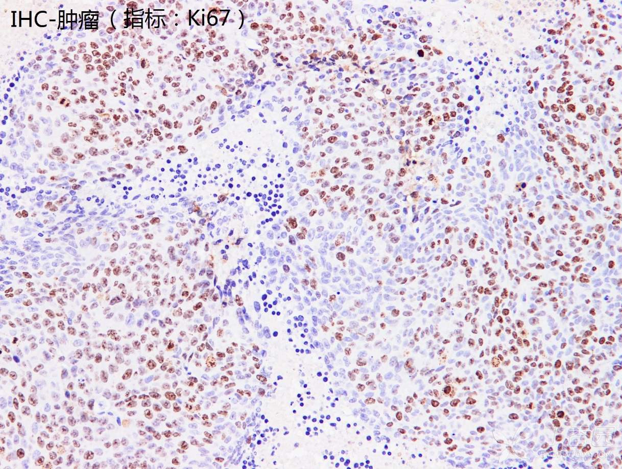
免疫组化ki67定位问题
图片尺寸1218x918
免疫组化-shengsci
图片尺寸684x253
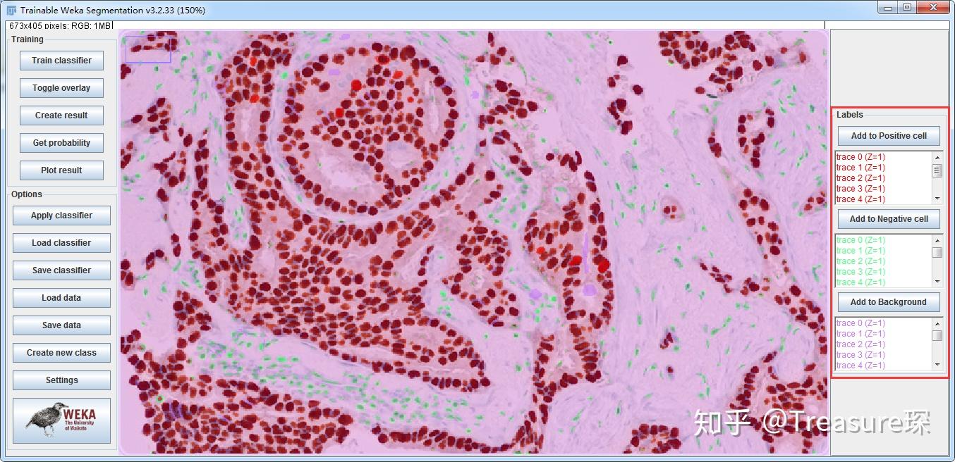
imagej实用技巧免疫组化分析定量分析篇
图片尺寸1354x656