全冠修复

前牙残冠全瓷冠修复一例 - 好大夫在线
图片尺寸4632x2325
典型病例:全瓷冠修复 - 好大夫在线
图片尺寸1280x720
前牙全瓷冠再修复
图片尺寸1675x861
前牙全冠修复
图片尺寸1676x975
前牙全冠修复,#美牙修复 #牙医日常 - 抖音
图片尺寸1443x1080
前牙美容修复病例3(贵金属烤瓷全冠修复1例) - 好大夫在线
图片尺寸1728x1152
全瓷冠 超薄贴面美学修复一例 - 好大夫在线
图片尺寸4928x3264
全瓷修复标准化操作培训班
图片尺寸600x340
上前牙氟斑牙全冠贴面联合修复 - 口腔专业讨论版 -丁香园论坛
图片尺寸1533x1551
九月份病例展示11瓷睿刻全冠修复
图片尺寸2274x1472
全冠固位体刚性连接桥体粘固在有缺损的基牙上
图片尺寸476x328
牙齿烂了之后,做嵌体修复好吗?来看看牙科医生的真建议
图片尺寸1200x714
导语:烤瓷牙作为修复牙冠用于修复牙齿缺损并满足功能与美观的需要
图片尺寸640x419
根管治疗后数字化全冠修复
图片尺寸2675x1505![【病例讨论】【病例展示】——全瓷冠修复 [病例帖]](https://imgs.wantubizhi.com/img/A1A61BAA66193547F3A6DD7D8EE527E93381B7A3A67999E167ED15DB412EFD21E412C9A75251CC26C509D8341664528301C1C181BDDF8D56EFB62AC5FCF32087113EC542CC35F16290D09789B29D968A0F9A6F8616912B9B0849409ED287F395)
【病例讨论】【病例展示】——全瓷冠修复 [病例帖]
图片尺寸3230x1876
导语:烤瓷牙作为修复牙冠用于修复牙齿缺损并满足功能与美观的需要
图片尺寸640x330
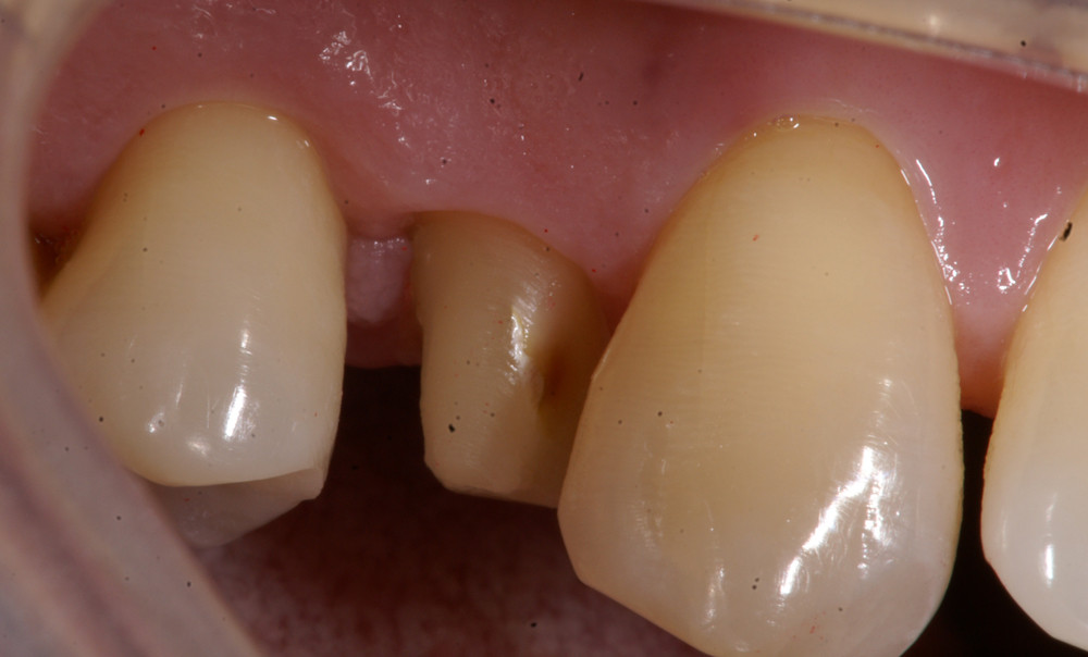
深圳朋友问我医生我的牙齿断了怎么修复好
图片尺寸1000x644
导语:烤瓷牙作为修复牙冠用于修复牙齿缺损并满足功能与美观的需要
图片尺寸640x427
后牙全冠修复一例 - 好大夫在线
图片尺寸1000x604
方案:11 rct 树脂纤维桩核 钴铬全冠修复(患者因经济方面的考虑,无法
图片尺寸620x1000