全口

初戴全口义齿会出现哪些不良反应
图片尺寸600x333
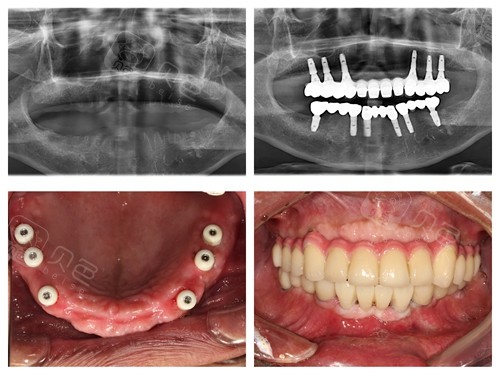
全口种植牙案例
图片尺寸2435x1625
如何做好全口义齿
图片尺寸397x283
全口义齿镶牙早了解
图片尺寸1322x942
牙科学生做的第一幅全口假07太难了
图片尺寸1080x1439
鄂州全口牙种植图片
图片尺寸908x604
老年人全口义齿的再修复问题讨论
图片尺寸1728x2304
全口牙种植效果怎么样
图片尺寸418x562
全口种植牙,让时光慢下脚步
图片尺寸600x406
济宁壹颗芽口腔_全口牙齿缺失需要种多少颗种植牙
图片尺寸1080x675
老龄化 | 关于全口义齿的一些经验总结
图片尺寸600x640
请问满口牙种植大约需要多少钱全口种植牙寿命是多少年
图片尺寸600x391
黄广泉中性区全口义齿精品班郑州站
图片尺寸832x567
老年人全口种植牙对比
图片尺寸400x226
牙槽嵴带有组织倒凹的全口义齿修复
图片尺寸490x330
能啃苹果的全口义齿
图片尺寸2000x2666
全口义齿,完成!
图片尺寸1280x1280
半口,全口种植牙收费价格表更新,看半口,全口收费贵不
图片尺寸500x375
口腔种植知多少②全口牙都没了还能做种植牙吗
图片尺寸400x726
要是天津美奥的全口种植牙费用也可以用医保报销就更好了_牙好青年
图片尺寸600x251