全身ct片

net632型spect与symbia t16型spect/ct在全身骨骼显像中的图像对比
图片尺寸3150x1561
做一次ct,x线对身体的伤害有多大?
图片尺寸640x1384
全身ct血管造影.照片摄影图片
图片尺寸1231x1600
人体骨架和骨架x射线全身
图片尺寸682x1023
老年女性,全身乏力,肩部疼痛,僵硬……,你的诊断是什么?| 以影识病
图片尺寸722x1280
兴化市人民医院东芝640层ct aquilion vision正式投入使用
图片尺寸1812x1812
全身扫描图片
图片尺寸229x300
ct检查会有辐射危害吗ct会致癌吗快看医生怎么说
图片尺寸856x1000
ct图像增强
图片尺寸502x803
全身大血管成像(cta)
图片尺寸749x757
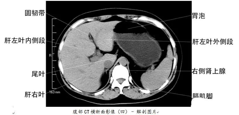
医科普全身ct图谱速收藏
图片尺寸817x393
1秒器官5秒心脏10秒全身扫描如此腻害的ct您造吗
图片尺寸420x560
5月1号出现全身疼痛 做ct 诊断十二直肠乳头占位并胆系扩张
图片尺寸4095x2304
全身ct图谱,赶紧收藏了吧
图片尺寸640x350
全身动脉血管cta
图片尺寸1080x863
谈"骨"论"经"——spect核素全身骨显像检查
图片尺寸640x703
全身ct影像
图片尺寸714x411
医生良心奉劝一句如果这3类人被要求做ct检查还是避开为妙
图片尺寸750x563
据了解,县医院引进的美国ge64排128层螺旋ct设备适用于全身各部位
图片尺寸600x400
【重要消息】德国西门子双源ct落户临河人民医院,刷新你对ct的认知
图片尺寸613x648