六龄齿

从中间数,第六颗牙,六岁左右萌出称六龄齿
图片尺寸400x270
六龄齿不替不换,一定要保护好.
图片尺寸812x1620
六龄齿
图片尺寸1080x1439
儿童的六龄齿是什么怎么保护它
图片尺寸1072x751
重要却最容易被忽视的六龄齿
图片尺寸1000x1333
尔睦科普|宝宝六龄牙,非常重要需保护_牙齿_孩子_恒牙
图片尺寸634x402
齿"是不经历换牙而直接萌出,其中有4颗在6岁左右萌出,因此被称为"六龄
图片尺寸696x492
六龄齿,是在孩子6岁左右长出的第一颗恒磨牙,总共四颗,一生只长一次
图片尺寸1280x960
什么是六龄齿?为什么需要重点保护? - 好大夫在线
图片尺寸1300x888
微导诊丨天津市第一中心医院儿童口腔门诊开诊
图片尺寸896x598
别伤了宝宝的"六龄齿",若是过早缺失,或造成难以弥补的后果_牙齿_小
图片尺寸1212x800
一岁多宝宝牙刚长出来就掉竟和爷爷奶奶半夜喂奶有
图片尺寸579x465
遗憾的四颗六龄齿
图片尺寸992x744
"六龄齿"横空出世,拉开换牙的序幕
图片尺寸1108x672
省二院口腔科保护孩子一生中最重要的六龄齿家长们千万要重视起来
图片尺寸531x365
俗称六龄齿长出来啦
图片尺寸720x1280
"六龄齿"长在哪里?
图片尺寸553x523
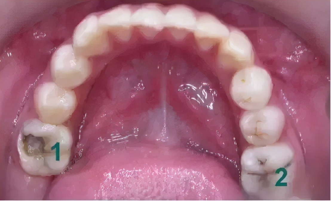
小朋友因为没有使用牙线导致六龄齿近中龋坏
图片尺寸1284x1284
六龄牙就指什么(六龄齿可不是乳牙,萌发后终生不会换,换牙期的家长要
图片尺寸530x381
特殊的六龄齿需要特别的爱——窝沟封闭
图片尺寸1080x764