关节鼠

罕见!小小膝盖竟长了近30颗"关节鼠"
图片尺寸1080x810
关节鼠是什么鼠
图片尺寸2667x2000
一男子髋关节取出70粒"关节鼠" 最大的有鹅蛋大_腾讯新闻
图片尺寸516x541
从患者贾某安关节处取出的关节鼠.
图片尺寸2667x2000
原创鼠年谈鼠骨哥崔大夫膝关节系列第二回关节鼠
图片尺寸1600x1287
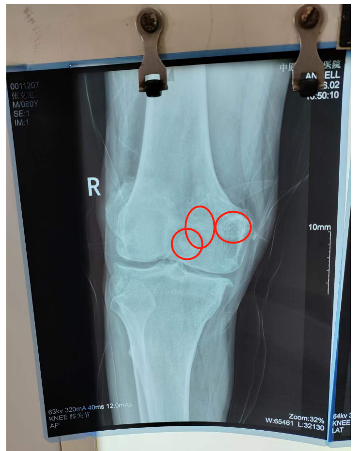
在当地医院做了x线检查, 当地医生发现 王师傅的膝关节里密密麻麻的
图片尺寸1080x810
老鼠作祟56岁老汉左膝捉出20只关节鼠
图片尺寸449x318
膝盖痛了好几个月竟然是关节里藏了老鼠
图片尺寸480x360
苏良秀手术后从体内取出的"关节鼠",这也是大轰炸受伤后产生的后遗症.
图片尺寸398x600
7只关节鼠折磨他5年膝盖经常咔咔响小心关节鼠正流窜
图片尺寸734x460
走路关节咔咔响,像有东西卡住一样,小心,可能有只"小老鼠"
图片尺寸1200x800
长沙女子右膝抓出7只"关节鼠" 膝盖差点报废
图片尺寸641x481
关节镜下逮`老鼠
图片尺寸750x563
佐剂诱导的小鼠关节炎模型
图片尺寸757x686
走路关节咔咔响,像有东西卡住一样,小心,可能有只"小老鼠"
图片尺寸600x800
"关节鼠"呢?医生和您聊聊这疾病吧
图片尺寸550x362
【骨科】"关节鼠"作祟多年,关节镜一举"除害"助健康!
图片尺寸556x429
瑞士科学家治愈风湿病老鼠
图片尺寸608x401
走不成路,"关节鼠"在作怪
图片尺寸747x930
小心出现这些症状可能是关节鼠在作怪
图片尺寸637x403