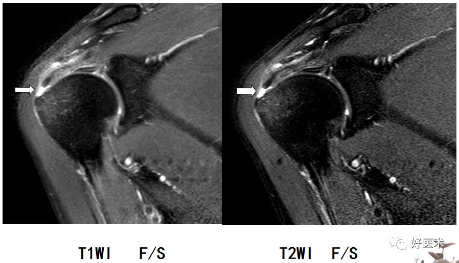
冈上肌肌腱撕裂核磁图

冈上肌肌腱撕裂肩袖撕裂做手术还是自行恢复被三轮车撞伤
图片尺寸1536x2048
冈上肌撕裂
图片尺寸1200x2129
图3 巨大肩袖损伤的核磁,可以看到冈上肌肌腱撕裂,回缩,原来冈上肌
图片尺寸594x748
核磁斜冠位示冈上肌冈下肌撕裂,其中冈上肌断端回缩至肩盂水平,术前
图片尺寸1599x1199
冈上肌腱撕裂磁共振检查无电离辐射,与良好的软组织对比,能将肩关节的
图片尺寸491x655
冈上肌完全撕裂冈上肌全层撕裂伴肩撞(骨赘形成)冈上肌全层撕裂mri
图片尺寸683x683
术前mri示:冈上肌肌腱断裂术中示:肩峰下滑囊术中示:断裂的冈上肌肌腱
图片尺寸1600x900
摔伤致右肩关节疼痛,活动受限10天,核磁示冈上肌,部分冈下肌撕裂
图片尺寸1199x1599
肩关节核磁共振,冈上肌撕裂七肩袖损伤的治疗明智的治疗:关节镜下微创
图片尺寸527x621
自体脂肪干细胞治疗后10周(e-h)治疗方式:在伤后第18天于冈上肌肌腱
图片尺寸865x414
滑囊面部分撕裂冈上肌完全撕裂冈上肌全层撕裂伴肩撞(骨赘形成)冈上肌
图片尺寸855x478
肩关节mri常规扫描诊断部分撕裂不如全层撕裂那么准确,因此常需要进行
图片尺寸525x710
核磁共振显示,右侧冈上肌肌腱断裂回缩(鼠标所示).
图片尺寸678x515
mri提示冈上肌损伤,结合患者症状,查体诊断为:肩袖损伤
图片尺寸1080x740
冈上肌部分撕裂镜下可见撕裂位置术前和术后邵明星医师在肩关节镜诊疗
图片尺寸709x533
图17 冈上肌
图片尺寸640x259
冈上肌腱腱体部分撕裂
图片尺寸1024x768
肩关节解剖及常见疾病影像表现
图片尺寸822x413
冈上下肌撕裂冈上下肌撕裂盂唇损伤要点程度:磨损,撕裂部位:上,前上
图片尺寸898x516
四个滑囊:肩峰下滑囊,三角肌下滑囊,喙突下滑囊,肩胛下滑囊.
图片尺寸1080x810