冠桥

瓷倍健全锆冠桥
图片尺寸516x416
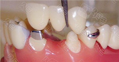
利用全瓷牙或者烤瓷牙修复缺损,就需要磨小邻近的牙齿,然后做冠桥修复
图片尺寸1000x621
义齿冠桥修复体的试戴技巧
图片尺寸512x393
臻瓷全锆冠桥
图片尺寸375x300
冠军桥夜景
图片尺寸1080x809
zeno捷诺全瓷冠桥
图片尺寸588x391
按下陶瓷牙,高度审美 emax 按下陶瓷桥, 冠.
图片尺寸1023x682
牙科材料固美临时冠桥树脂德国voco自凝型配搅拌混合头嵌体临时牙
图片尺寸800x800
义齿冠桥修复体试戴技巧
图片尺寸1080x719
漂亮的皇冠步行景观桥
图片尺寸3182x2000
漂亮的皇冠步行景观桥
图片尺寸3322x2000
金属烤瓷冠桥修复体180例
图片尺寸400x300
皇冠桥景
图片尺寸3238x1619
恒升健齿·金属烤瓷冠桥
图片尺寸800x800
cnc电脑钴铬金属冠桥
图片尺寸720x429
file:taoyaomen bridge, zhejiang province.jpg
图片尺寸2000x1574
缺失一颗牙齿冠桥
图片尺寸400x208
beipanjiangrailwayshuibaifootbridge
图片尺寸3264x2448
义齿冠桥修复体的试戴技巧
图片尺寸1024x685
加工完成的冠桥,简单,舒适,美观
图片尺寸1800x1200